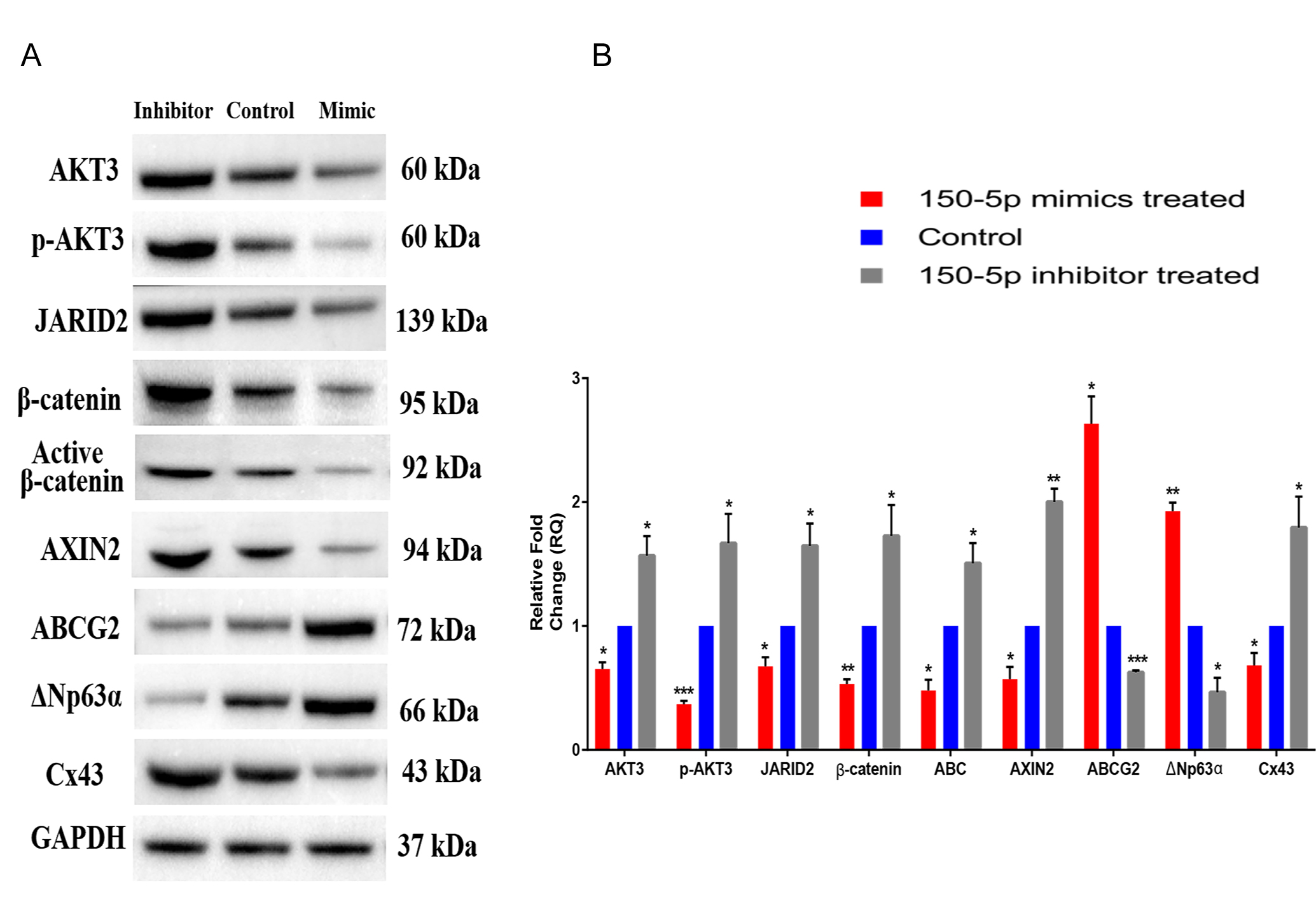
Figure 5. Protein expression profile of hsa-miR-150-5p-transfected cells grown in a Real Architecture For 3D Tissue (RAFT) culture system.
A: Representative western blots of the proteins of interest (AKT3, p-AKT3, JARID2, β-catenin, active β-catenin, AXIN2, ABCG2,
ΔNp63⍺, and Cx43) in the three groups: hsa-miR-150-5p mimic-, inhibitor-, and control-transfected RAFT cultured cells (n =
3). GAPDH was used as a normalizing reference and loading control. B: The relative expression profiles of the proteins were quantified using western blotting. *p < 0.05; **p < 0.001; ***p <
0.0001.
