Figure 9 of Verdina, Mol Vis 2021; 27:78-94.


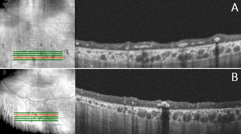
Figure 9. OCT scan at the level of bone spicules with an underlying choroid with prominent choroidal vessels.