Figure 4 of Verdina, Mol Vis 2021; 27:78-94.


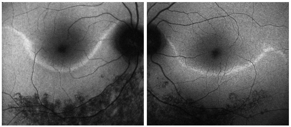
Figure 4. Fundus autofluorescence imaging. The images are related to patient 3 and show hyper-AF arcs associated with the transition zone between the normal-functioning retina and the diseased retina.