Figure 1 of
Verdina, Mol Vis 2021; 27:78-94.
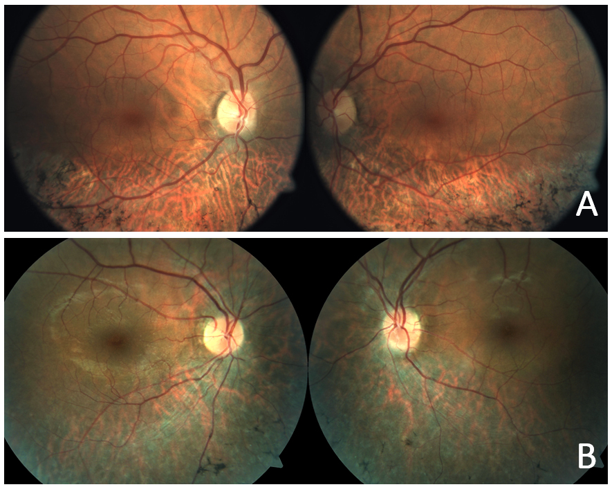
Figure 1.
Color retinography imaging. Bone spicule-like pigmentation in the inferior retina with symmetric alterations of the pigmented area in both eyes in patient 5 (
A
) and patient 11 (
B
).