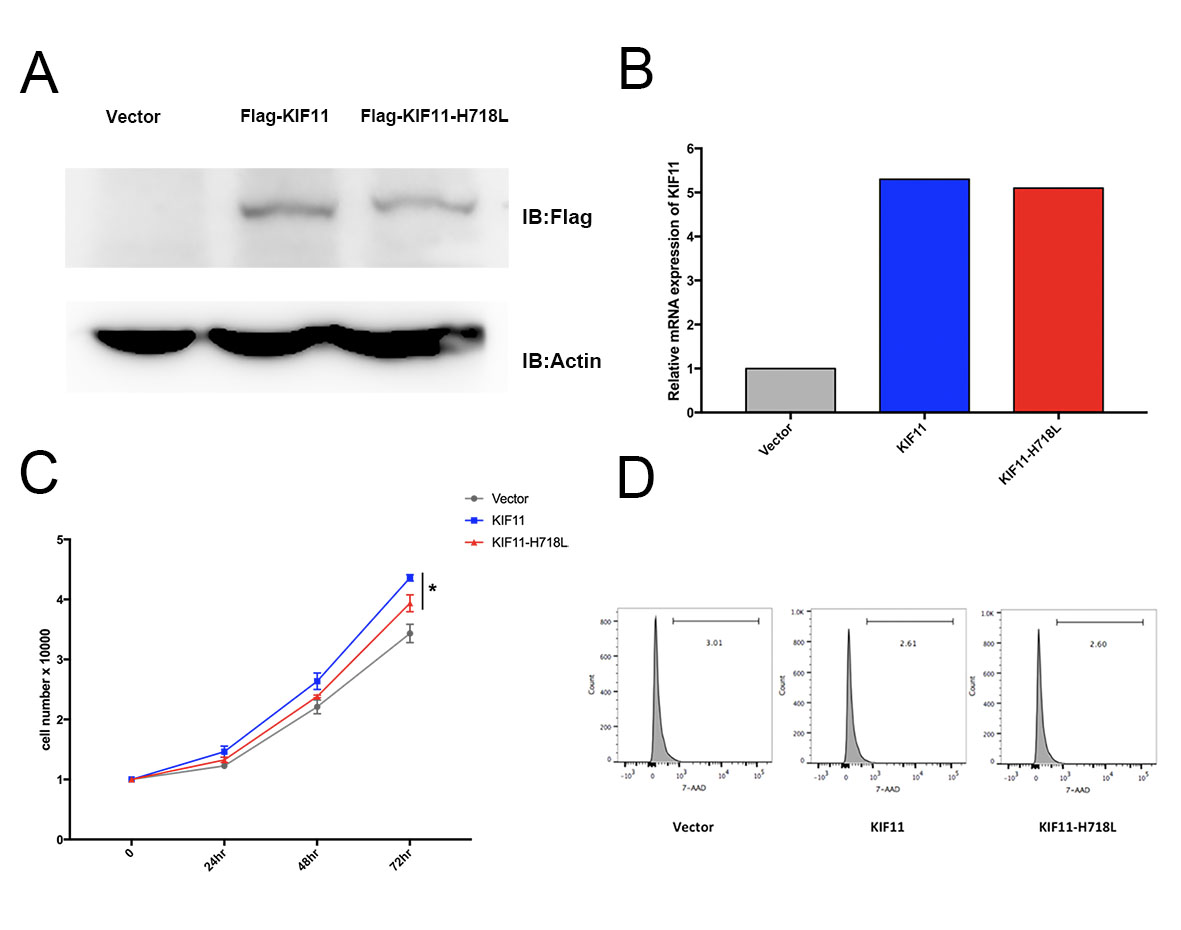
Figure 6. The p. H718L mutation in KIF11 can reduce the proliferation but not affect apoptosis of HRECs. A, B: Stable cell lines of human retinal epithelial cells (HRECs) overexpressing human KIF11 (wild-type) and KIF11 (p. H718L) mutant proteins are established and demonstrated at the protein and mRNA levels with western blot assay using
anti-FLAG antibody and real time quantitative real-time PCR (q-PCR), respectively. HREC stable cell lines were cultured in
a human endothelial medium for 3 days. HREC numbers were counted with the Countess II Automated Cell Counter (Thermo Fisher).
C: The cell number of the vector group increased from 1 × 104 to 3.53 × 104 (gray line), KIF11 (wild-type) group went from 1 × 104 to 4.63 × 104 (blue line), and KIF11 (p. H718L) group increased from 1 × 104 to 3.97 × 104 (red line). The cell number between the KIF11 (wild-type) and KIF11 (p. H718L) groups showed a statistically significant difference (p=0.032589). D: HREC stable cell lines are stained with 7-amino-actinomycin D (7-AAD). There is no difference in the percentage of 7-AAD-positive
HRECs between the KIF11 (wild-type) and KIF11 (p. H718L) groups.
