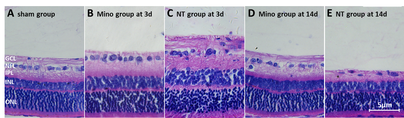
Figure 3. H&E staining for the retina of the non-minocycline treatment group and the minocycline treatment group at 3 days and 14 days
after IR. (A) Sham group, (B, D) minocycline treatment (Mino) group, (C, E) no treatment (NT) group. At 3 days after ischemia-reperfusion (IR), edema is seen in the retinal layer of the NT group (C) but not in the Mino group (B). At 14 days after IR, the NT rats (E) have obviously thinner retinas compared to the Mino group (D), especially the nerve fiber layer, the ganglion cell layer, and the inner molecular layer. Scale bar: 5 μm.
