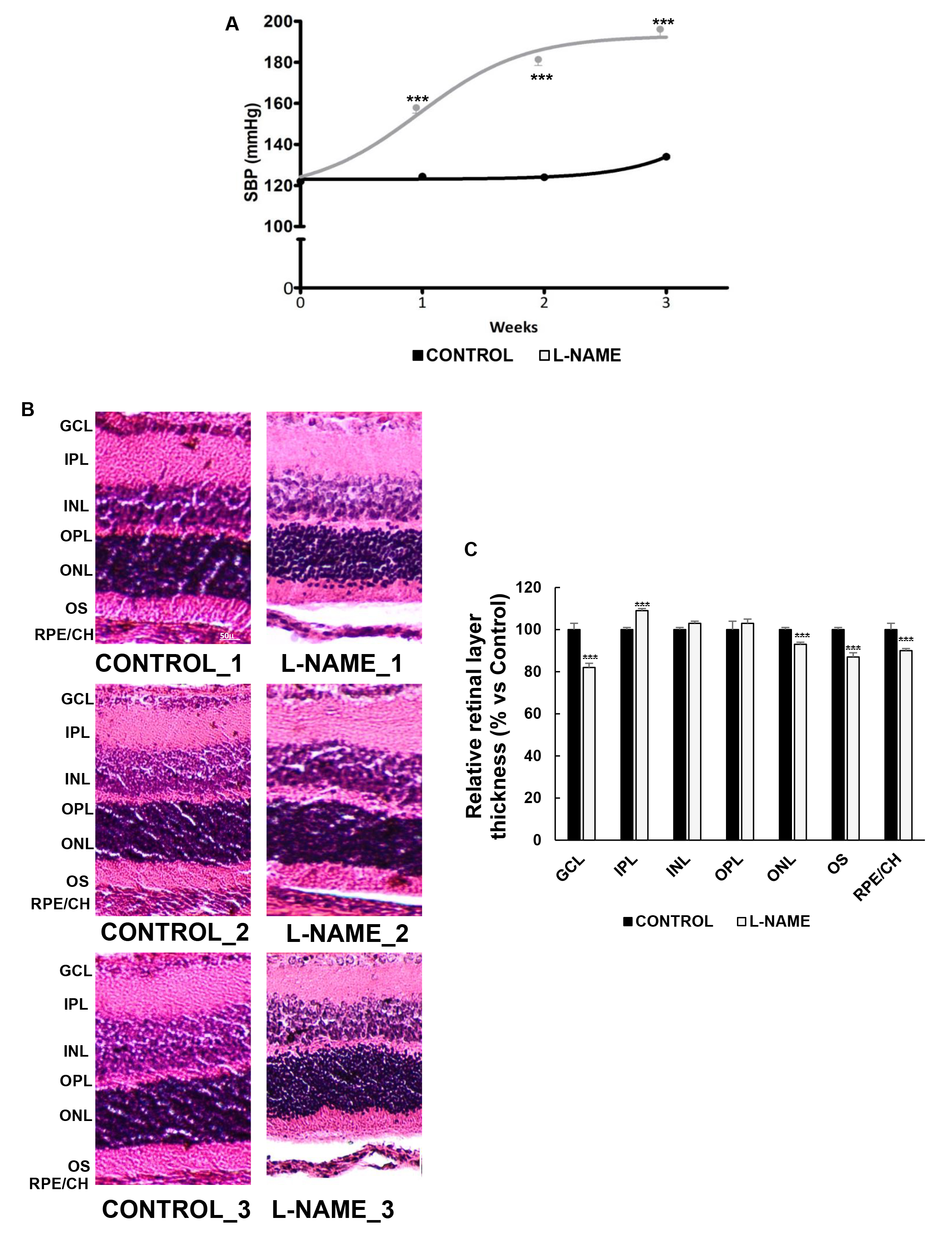
Figure 1. Effect of Nω-nitro-L-arginine methyl ester (L-NAME) on blood pressure and retinal layer thickness. A: Systolic blood pressure (SBP) values of rats receiving the standard control diet (black line) or subjected to treatment
with L-NAME p.o. (gray line). B: Representative images of retinal sections subjected to hematoxylin and eosin staining (three images per group are shown
as a representation of all animal samples processed). C: Histomorphometric analysis of relative retinal layer thickness. Plotted values are expressed as mean ± standard error of
the mean (SEM) of seven animals per group. ***p<0.001 versus the CONTROL group.
