Figure 1 of Altay, Mol Vis 2020; 26:661-669.


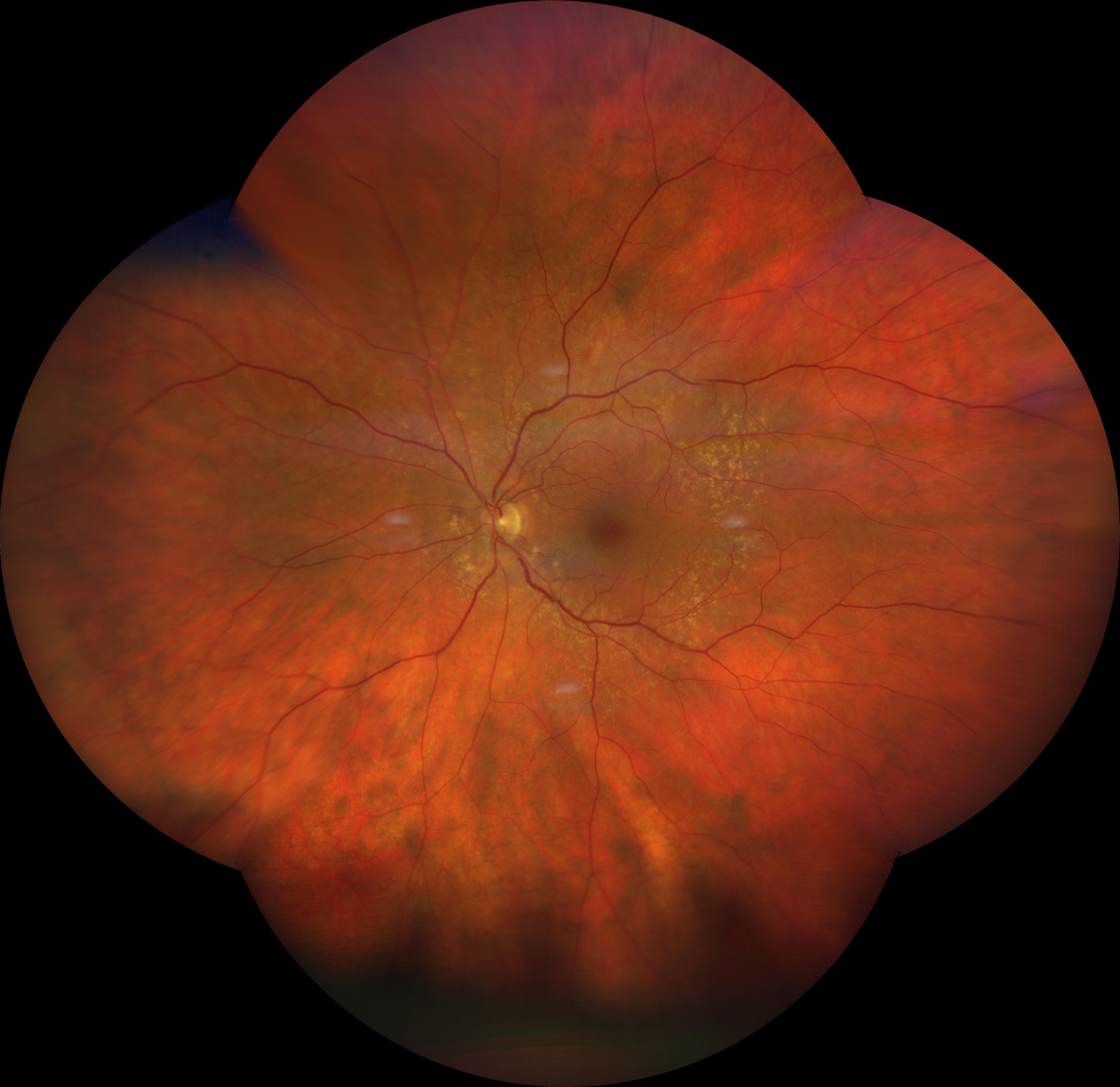
Figure 1. Example of the extramacular drusen phenotype.