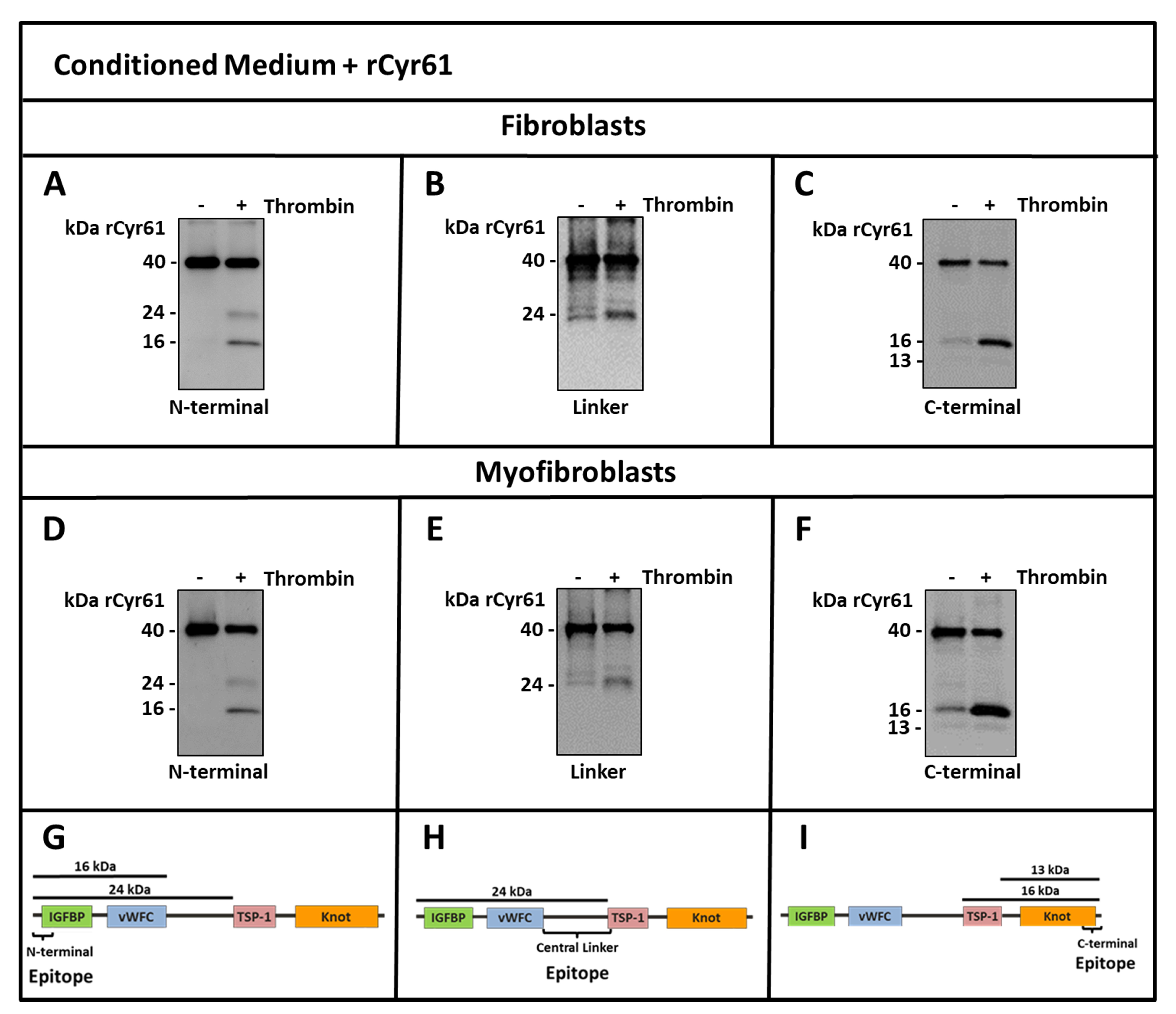
Figure 9. The thrombin conditioned media contain rCyr61 cleavage enzymes. A-F: The conditioned media without concentration from 3 h control (-) and 1.0 U/ml thrombin-treated (+) fibroblasts (A-C) and myofibroblasts (D-F) were incubated with rCyr61 (31.6 nM) for 2 h at 37 °C with 4.4 AT-U/ml hirudin to inhibit thrombin. The aliquots of each
reaction were probed for Cyr61 using N-terminal (A and D), central linker (B and E), and C-terminal (C and F) region-specific antibodies. Equivalent reaction volumes were loaded, as the conditioned media were collected from pooled
control and thrombin-treated cultures with equivalent cell number seeded per well. Representative blots are shown for one
of two experiments using independent donors. G-I: Approximate location of cleavage products based on epitope locations of Cyr61 antibodies.
