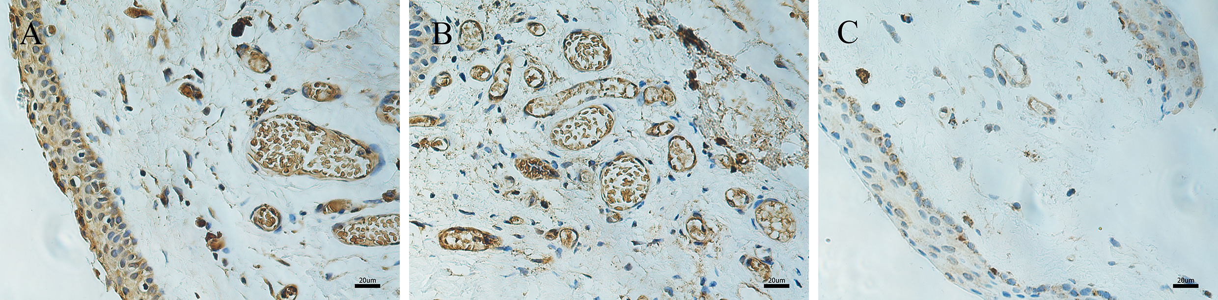
Figure 1. Immunohistochemical expression of STAT3 in pterygium and normal conjunctiva. Immunohistochemical expression of STAT3 in pterygium
(A–B) and normal conjunctiva (C). A: STAT3 appears to be strongly positive expressed in the cytoplasm of the endothelial cells of blood vessels, epithelial cells,
and stromal inflammatory tissue. B: A large number of STAT3-positive vessels in pterygium tissue. C: Epithelial cells with weak cytoplasmic immunoreactivity are detected mainly in control conjunctival samples (400X, bar =
20 μm).
