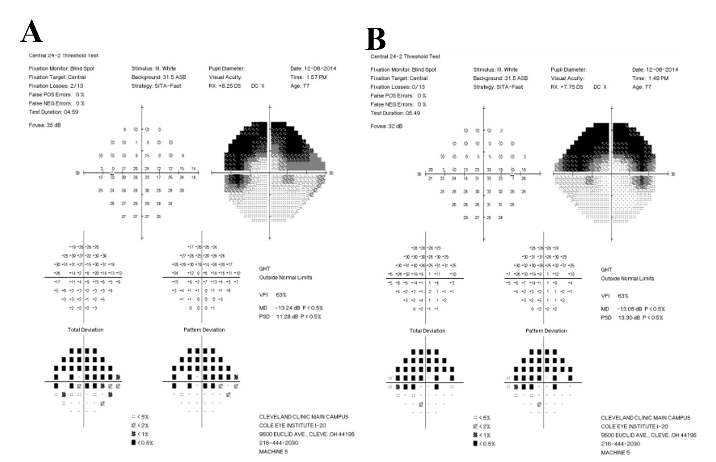
Figure 2. Visual field testing of patient 2 with a novel c.677T>C mutation in RHO (p.Leu226Pro). A: Oculus sinister (OS) Humphrey 24-2 SITA Fast visual field showing superior hemifield defects. B: Oculus dexter (OD) Humphrey 24-2 SITA Fast visual field showing superior hemifield defects.
