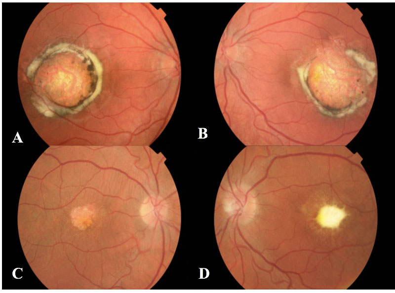
Figure 1 of Tandon, Mol Vis 2019; 25:731-733.


Figure 1. Fundus photos. A: Patient RE. B: Patient LE. C: Father RE. D: Father LE. RE= Fundus photos of right eye. LE= Fundus photos of left eye.