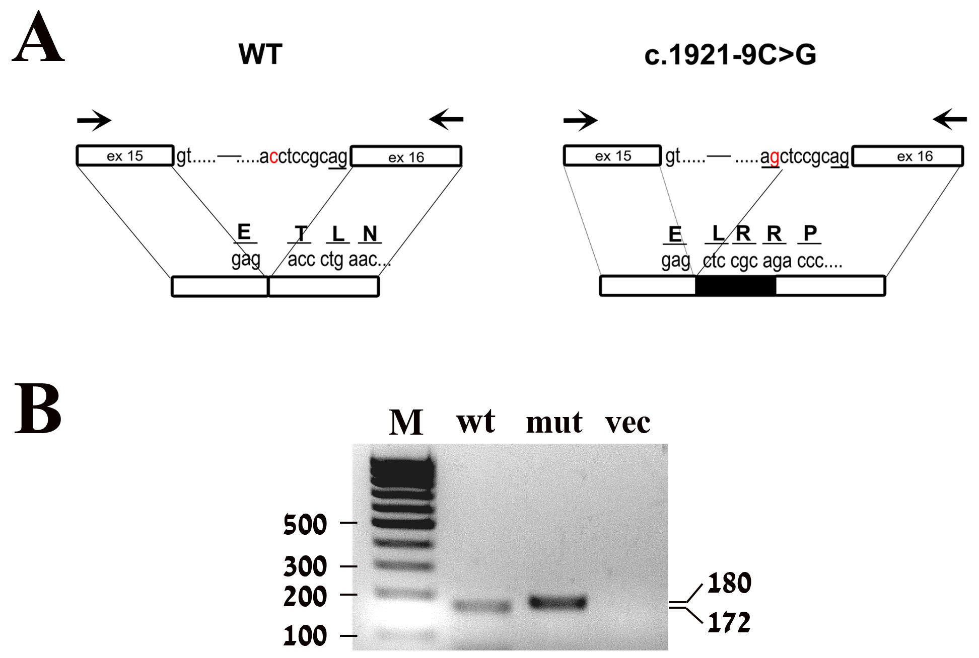
Figure 3. Minigene constructs and products obtained in the in vitro splicing assay. A: Shown is a schematic representation of the constructs, which include PDE6B exons 15 and 16 (represented by boxes) and the intron between them (represented by a straight line). Either a C or a G is
present at position −9 of intron 15. Also shown are the locations of the primers used for reverse transcription (RT)-PCR (indicated
by arrows). B: Constructs were transfected into COS-7 cells, followed by RNA extraction and RT–PCR. cDNA derived from the wild-type (wt)
construct yielded a correctly-spliced product. cDNA derived from the mutant construct yielded an aberrantly spliced product,
with an 8-bp insertion into exon 16.
