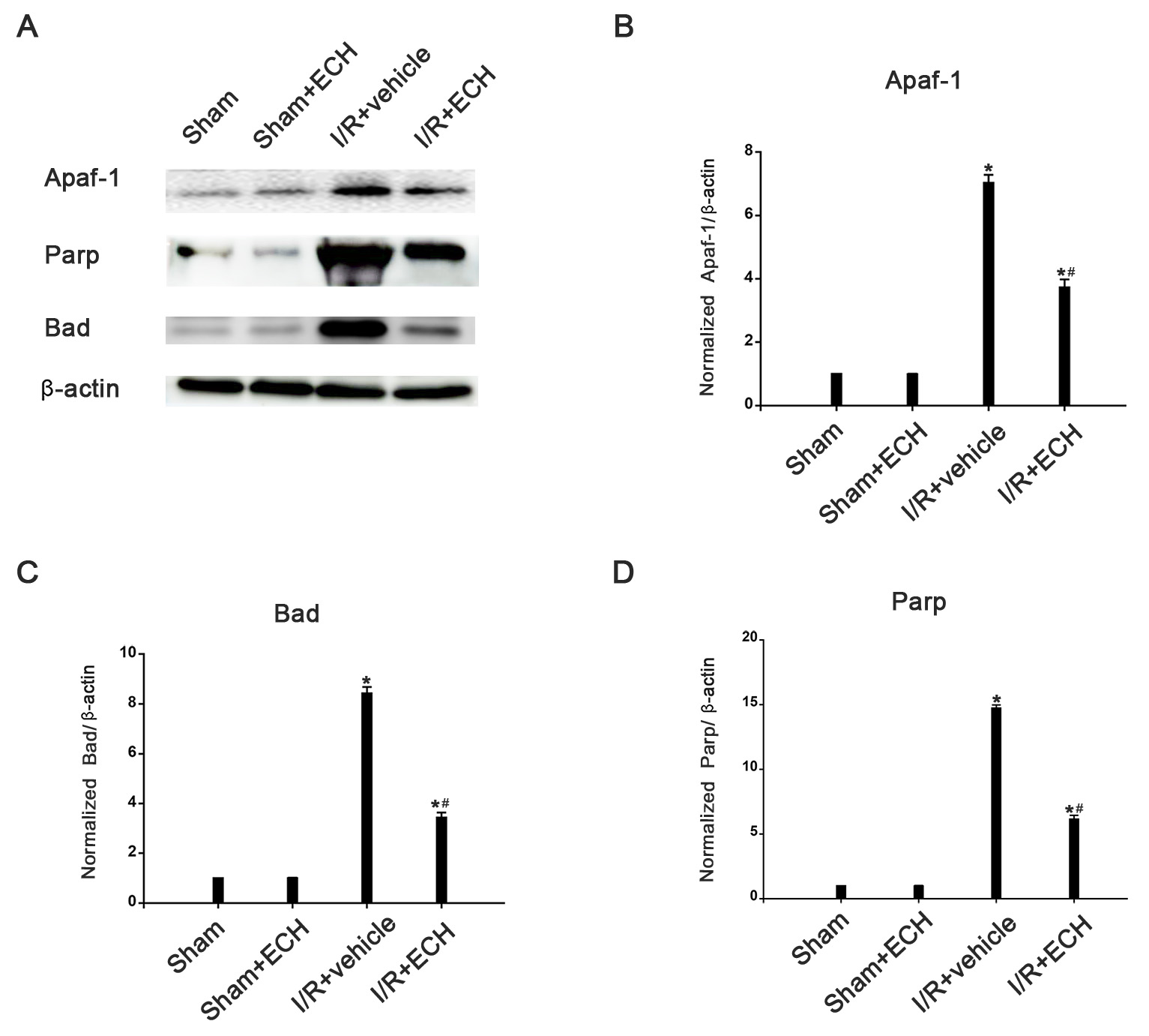
Figure 7. ECH treatment reduced release of Parp, Apaf-1, and Bad in the retina 7 days post-I/R. A: western blotting shows statistically significant activation of Parp, Apaf-1, and Bad in the retinas after ischemia/reperfusion
(I/R) injury; echinacoside (ECH) treatment reduced these effects. B–D: Histograms represent the mean ± standard error of the mean (SEM) of the Parp, Apaf-1, and Bad protein levels in the retinas
of all groups.*p<0.01 versus the sham group; #p<0.01 versus the I/R plus vehicle group.
