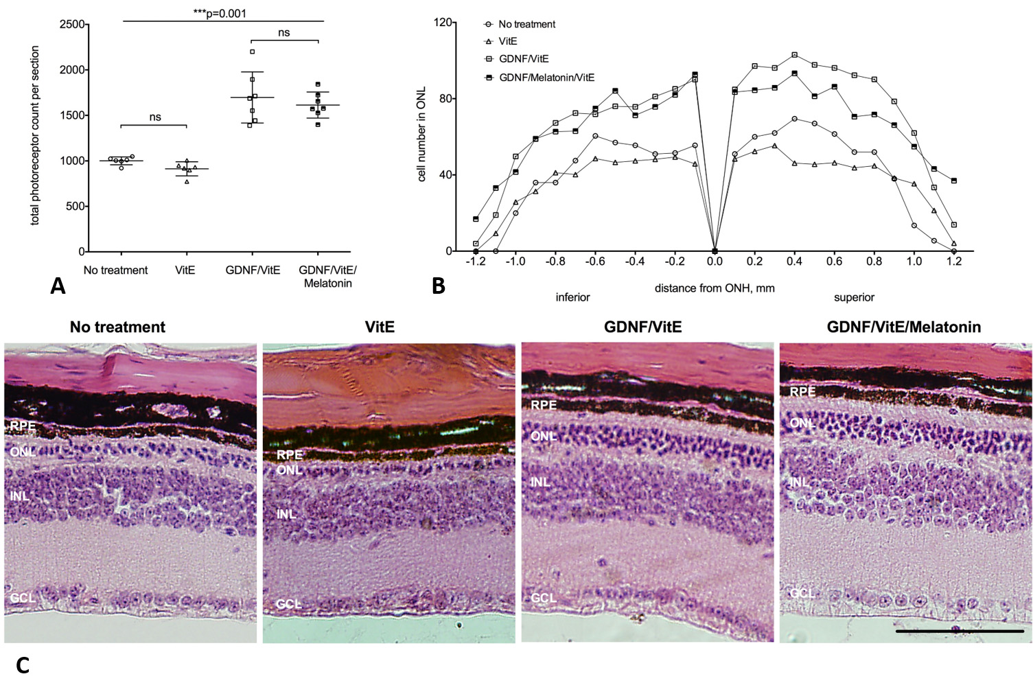
Figure 3. The rescue of photoreceptors with microspheres. A: Total photoreceptor count per section of glial cell line–derived neurotrophic factor/vitamin E (GDNF/VitE)-loaded microspheres
(MSs), GDNF/VitE/melatonin-loaded MSs, VitE-loaded MSs, and untreated rho (−/−) mice. We observed a more than 1.5-fold increase in the photoreceptor number in both treatment groups compared to the
control groups. No difference between the control groups was observed. Error bars indicate standard error of the mean (SEM);
levels of significance: *p<0.05, **p<0.01, ***p<0.001. Sampling size for each group: 7 animals/group. B: The spider plot demonstrates the pan-retinal rescue of photoreceptors in both treatment groups 12 weeks after the intravitreal
injection of the microspheres. C: Hematoxylin and eosin (H&E) staining of paraffin sections of the retinas for GDNF/VitE-loaded MSs, GDNF/VitE/melatonin-loaded
MSs, VitE-loaded MSs, and untreated rho (−/−) mice. We did not observe any signs of inflammation in the treated eyes at the 12-week time point.
