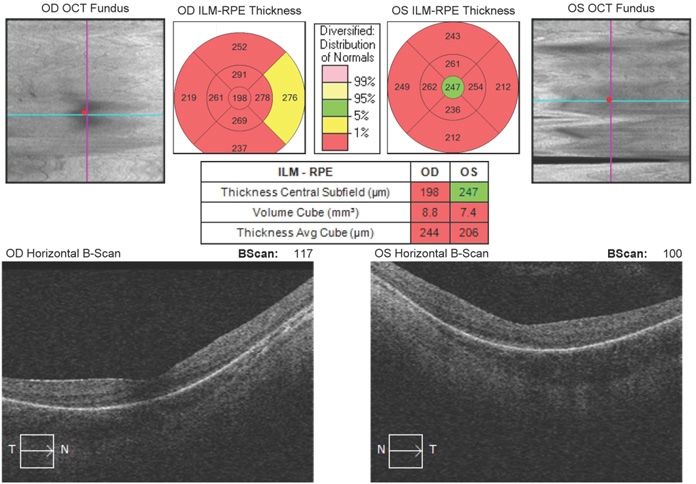
Figure 2 of Souzeau, Mol Vis 2018; 24:478-484.


Figure 2. Optical coherence tomography showing severe thinning of the macula in both eyes at age 12 years, as demonstrated by the thickness being less than 1% of normal distribution (red) for both eyes.