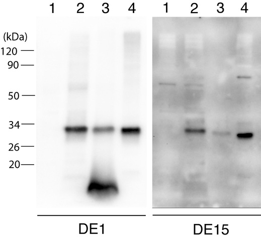
Figure 1. Authentication of specific binding of DE15 antibody to bovine RGR. The immunoreactivity of affinity-purified antibodies DE1
(left panel) and DE15 (right panel) was tested with an immunoblot assay of various preparations of bovine RGR protein. (Lane 1) Control untreated Sf9 cell extract. (Lane 2) Bovine RGR baculovirus-transduced Sf9 cell extract. (Lane 3) Purified RGR from bovine RPE. (Lane 4) Bovine RPE microsomal membranes. The protein blots were incubated with DE1 or DE15 antibodies, and binding was detected
with chemiluminescence.
