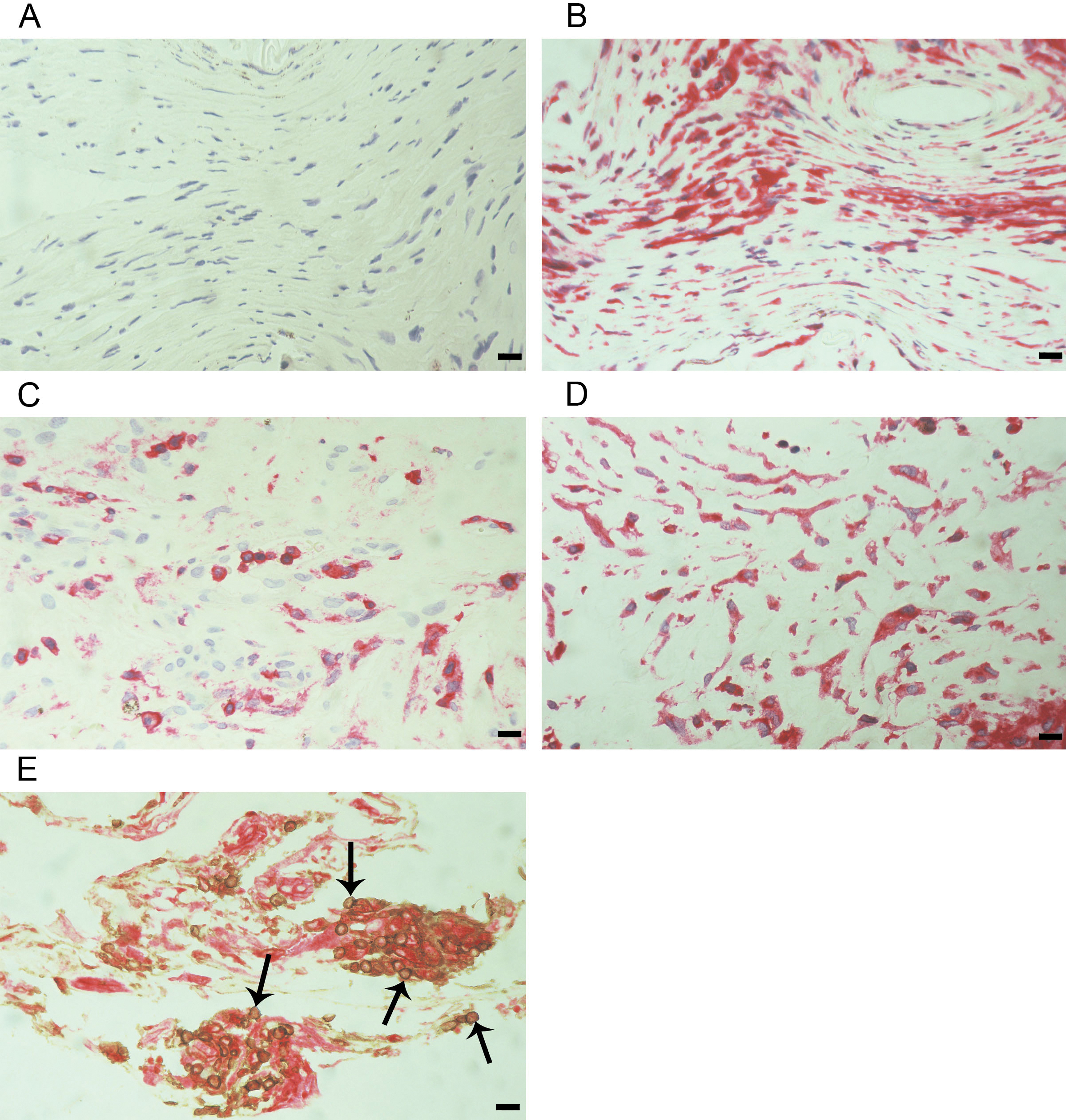
Figure 4. Proliferative vitreoretinopathy fibrocellular epiretinal membranes. A: Negative control slide showing no labeling. B: Immunohistochemical staining for α-smooth muscle actin showing immunoreactivity in spindle-shaped myofibroblasts. C: Immunoreactivity staining for CD45 showing immunoreactivity in leukocytes. D: Immunohistochemical staining for matrix metalloproteinase-14 (MMP-14) showing immunohistochemistry in spindle-shaped myofibroblasts.
E: Double immunohistochemistry for CD45 (brown) and MMP-14 (red) demonstrates cells coexpressing CD45 and MMP-14 (arrows; scale
bar, 10 µm).
