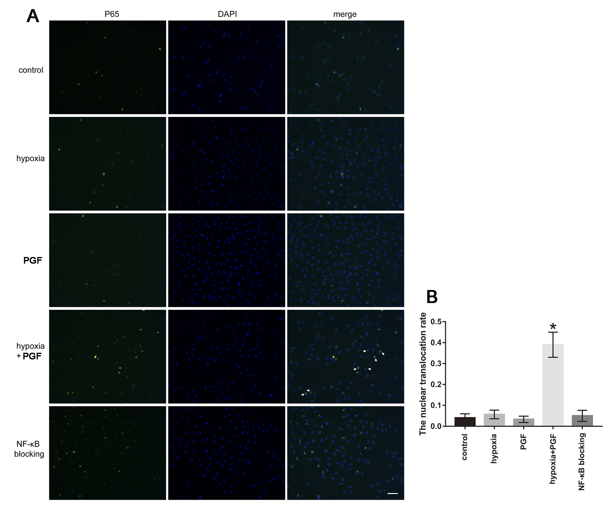
Figure 7. Effects of exogenous PGF on NF-κB p65 expression in ARPE-19 cells under hypoxia. A: Increased expression of p65 in the nuclear fraction of ARPE-19 cells was observed in the hypoxia+placental growth factor
(PGF) group (as shown with white arrows). Treatment with the NF-κB signaling inhibitor restored this change. Scale bar: 200
μm. B: Quantitative analysis of the nuclear translocation rate is shown in the bar graph. Nuclear translocation rate = the number
of cells with nuclear immunofluorescence staining / the number of cells with nuclear or cytoplasmic immunofluorescence staining.
Data are the mean ± standard deviation (SD), n = 3, *p<0.05 versus the other four groups.
