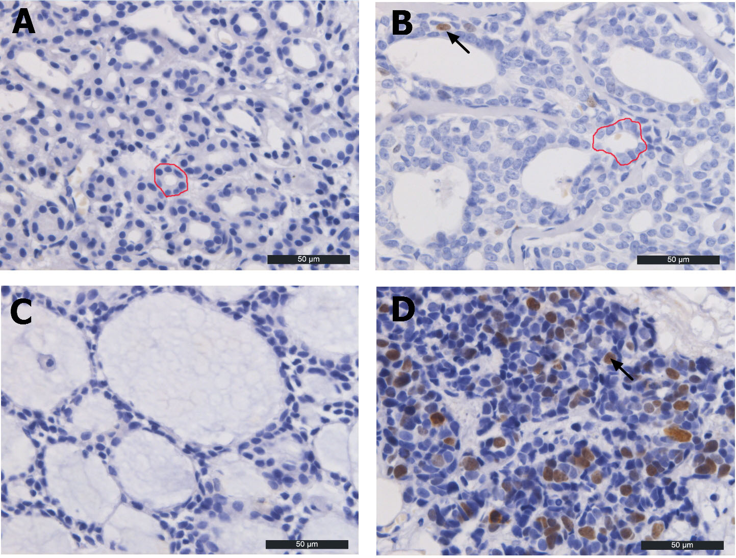
Figure 5. Expression of Ki67 in ACCs in the lacrimal gland. A: Healthy lacrimal glands. B: Tubular pattern. C: Cribriform pattern. D: Solid pattern. Ki67 expression was positive in the nuclei. Red curves: inner ductal epithelial cells; black arrows: positive
staining of Ki67, Scale bars = 50 μm.
