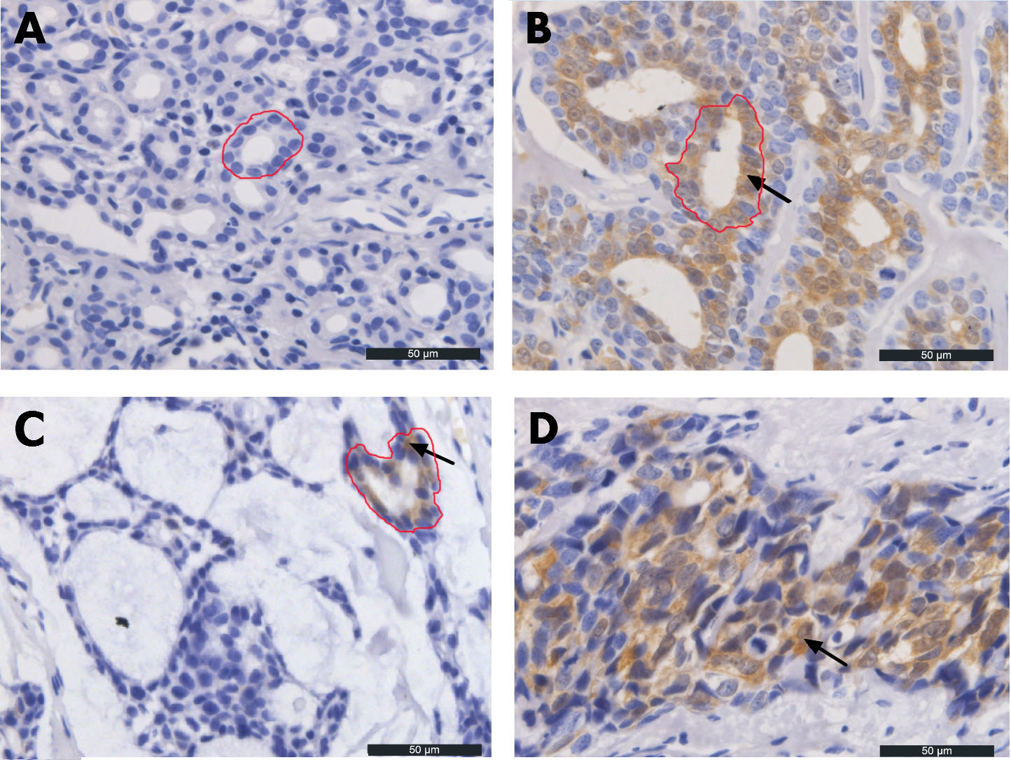
Figure 3. Expression of p16 in ACCs in the lacrimal gland. A: Healthy lacrimal glands. B: Tubular pattern. C: Cribriform pattern. D: Solid pattern. P16 expression was positive in the inner ductal epithelial cells and solid cell nests. Red curves: inner
ductal epithelial cells; red arrows: myoepithelial cell; black arrows: positive staining of p16. Scale bars = 50 μm.
