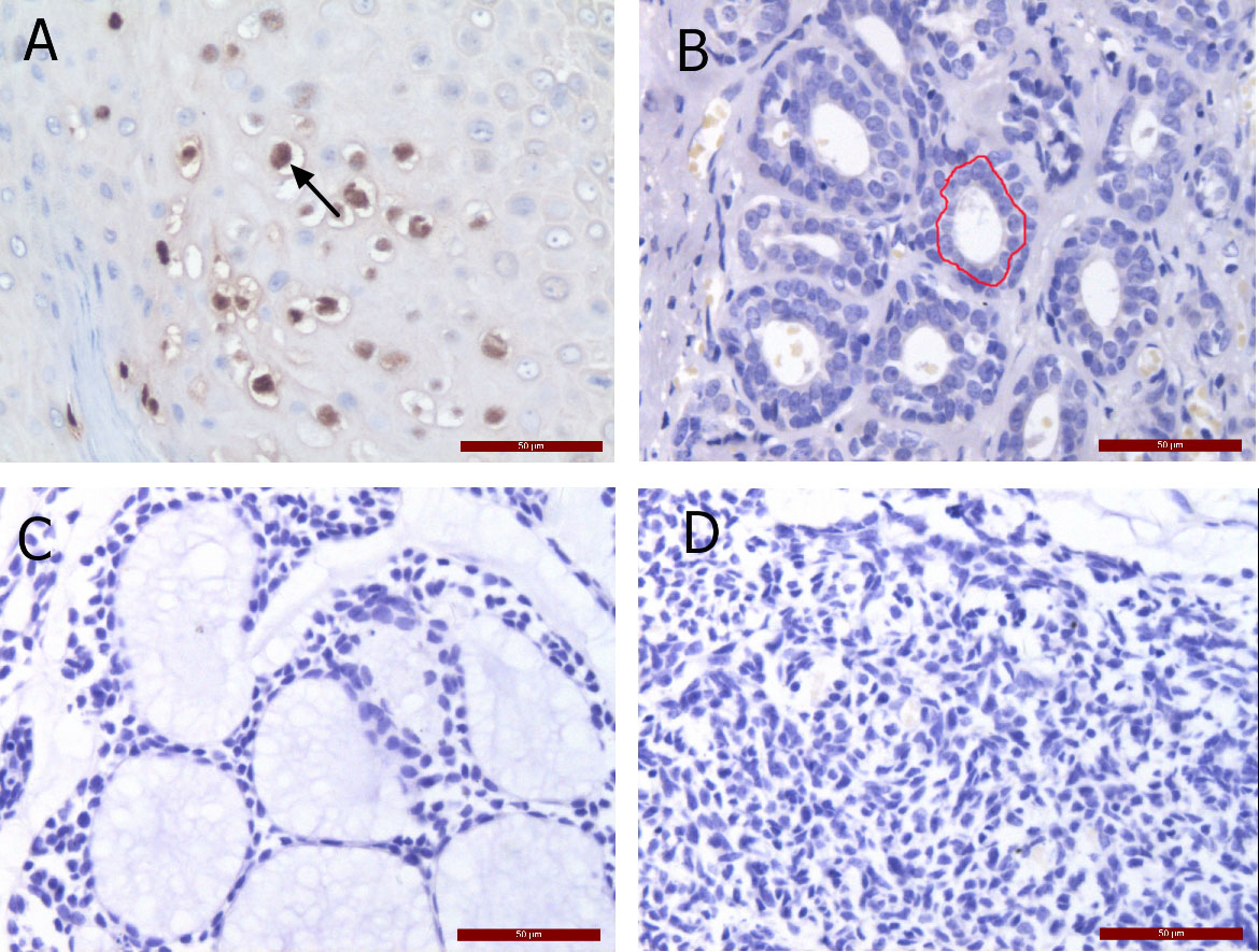
Figure 1. ISH assay for HPV in ACCs and the positive control. A: Human papilloma virus (HPV) was positive in the condyloma acuminatum (positive control, black arrow). B: Tubular pattern (red curve: inner ductal epithelial cells). C: Cribriform pattern. D: Solid pattern: HPV was negative in three histologic subtypes of adenoid cystic carcinomas (ACCs). Scale bars = 50 μm.
