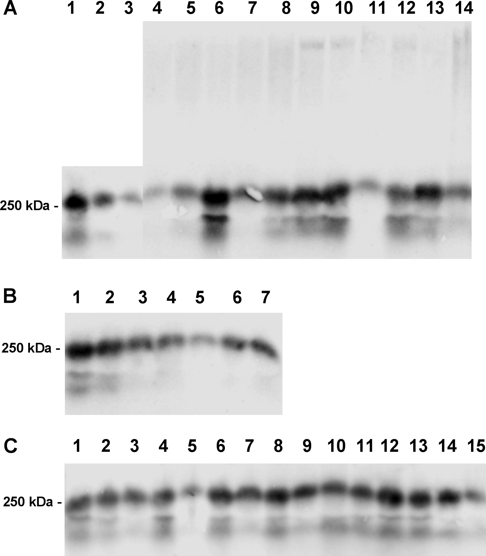
Figure 4. Western blot results for detection of MUC16 in the tear fluid collected using the three tear collection methods. Only samples
that yielded greater than 10 µg of protein were probed using antibody OC125 on individual samples of tears collected from
the right eyes of human subjects. A: Results after probing tear samples collected using the Schirmer’s strip (n = 14). B: Results after probing flush tear samples (n = 7). C: Results after probing basal tear samples collected (n = 15). The ladder marker for 250 kDa is displayed for all blots.
