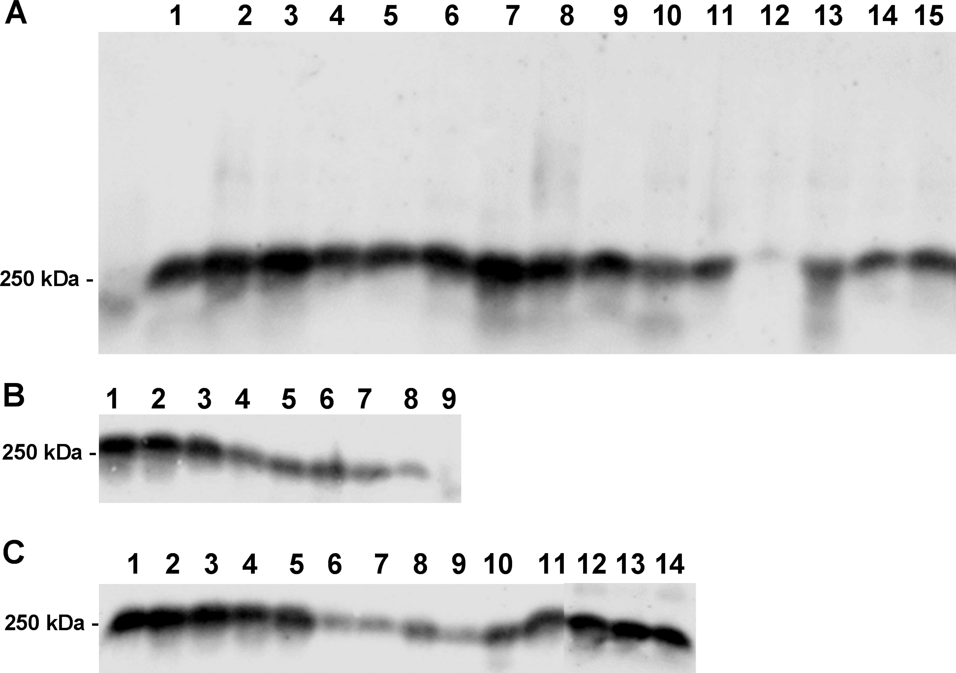
Figure 3. Western blot results for detection of MUC5AC in the tear fluid collected using the three tear collection methods. Only samples
that yielded greater than 10 µg of protein were probed using antibody CLH2 on individual samples of tears collected from the
right eyes of human subjects. A: Results after probing tear samples collected using the Schirmer’s strip (n = 15). B: Results after probing flush tear samples (n = 9). C: Results after probing basal tear samples (n = 14). The ladder marker for 250 kDa is displayed for all blots.
