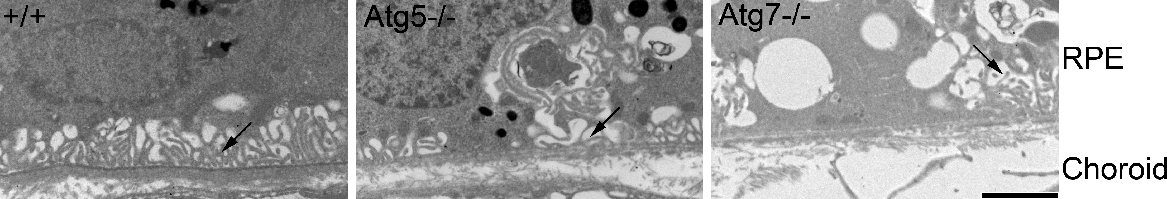
Figure 8. Diminished RPE basal infoldings in aged Atg5ΔRPE and Atg7ΔRPE mice. Representative electronic micrographs showing the RPE basal infolding area of 17-month-old wild-type (+/+), Atg5ΔRPE (Atg5−/−), and Atg7ΔRPE (Atg7−/−) mice. Note the scarce basal infoldings (arrow) in the Atg5ΔRPE and Atg7ΔRPE mice. Scale bar = 2 µm.
