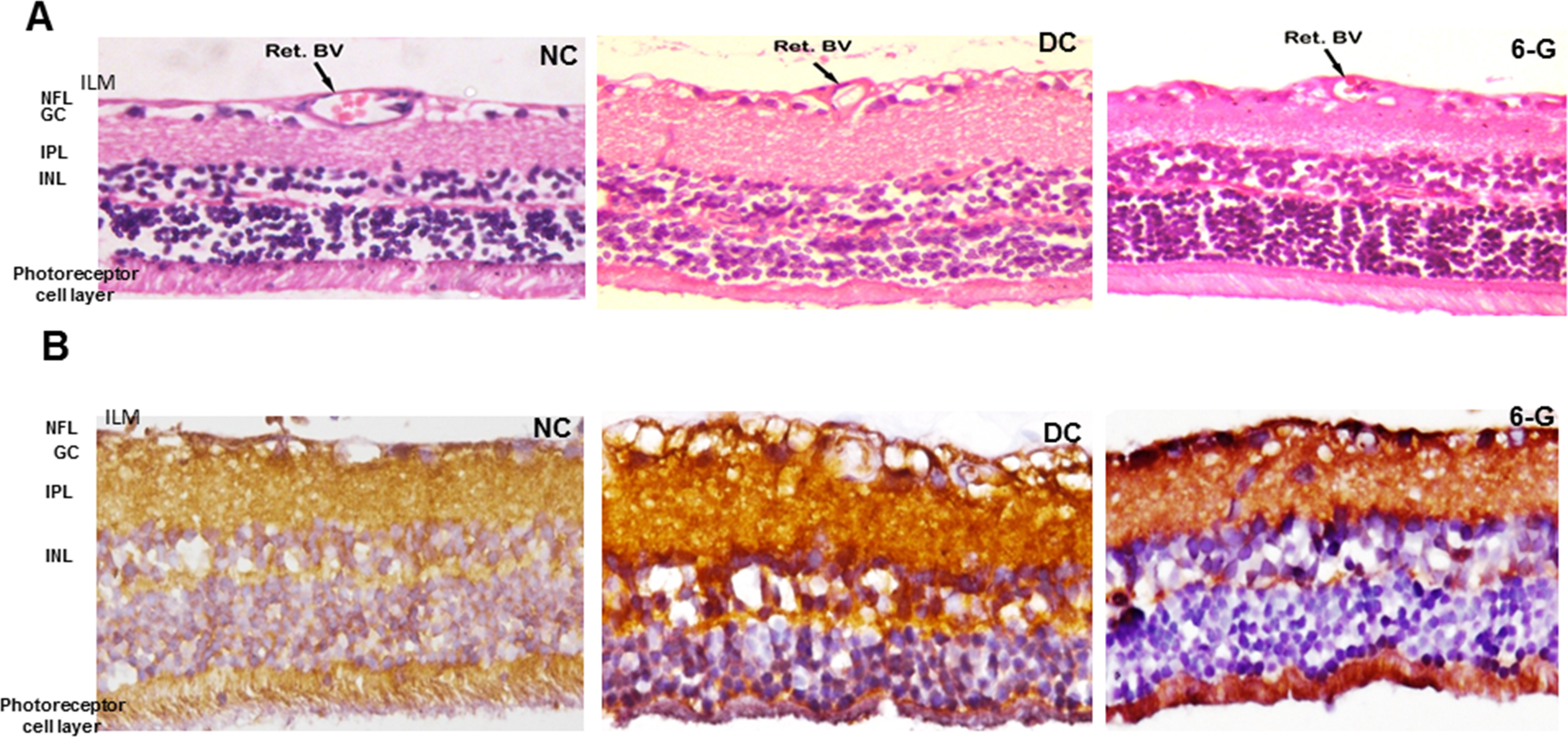
Figure 5. Microphotographs (40X) showing the effect of the standardized extract of Zingiber officinale on the retinal vasculature and nuclear factor-kappa B (NF-κB) expression after 24 weeks of treatment in rats with STZ-induced
diabetes. A: Hematoxylin and eosin stained retinal sections showed thickened wall of the retinal blood vessel (Ret BV) in the DC group
but not in the group treated with 6-G (n=4 for all groups). B: Retinal microphotographs after immunostaining for nuclear factor-kappa B (NF-κB) showed intense staining in NFL, IPL and
INL. Less intense staining was observed in 6-G group (n=4 for all groups). NC = normal control; DC = diabetic control; 6-G
= Zingiber officinale–treated diabetic group. ILM = inner limiting membrane; NFL = nerve fiber layer; GCL = ganglion cell layers; IPL = inner plexiform
layer; INL = inner nuclear layer.
