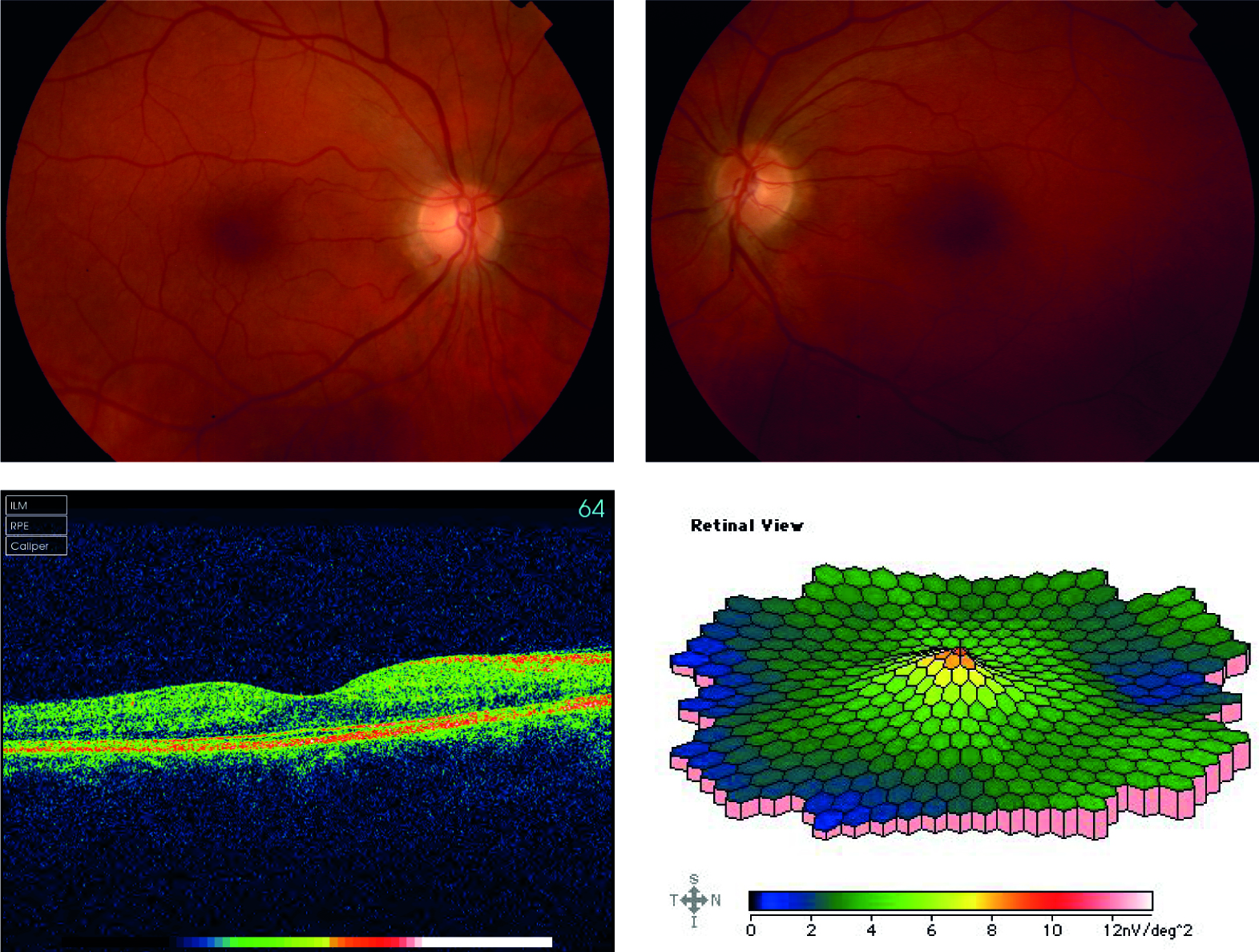
Figure 4. Phenotype. Patient II-1 with autosomal dominant retinitis pigmentosa (adRP) and a de novo mutations in RHO135 (p.R135W), showing normal fundi, a slightly reduced optical coherence tomography (OCT) scan and a reduced multifocal electroretinography
(mfERG). This patients with normal full-field electroretinography (ffERG) and visual fields shows the importance of assessing
central retinal structure and function in the diagnostics of RP.
