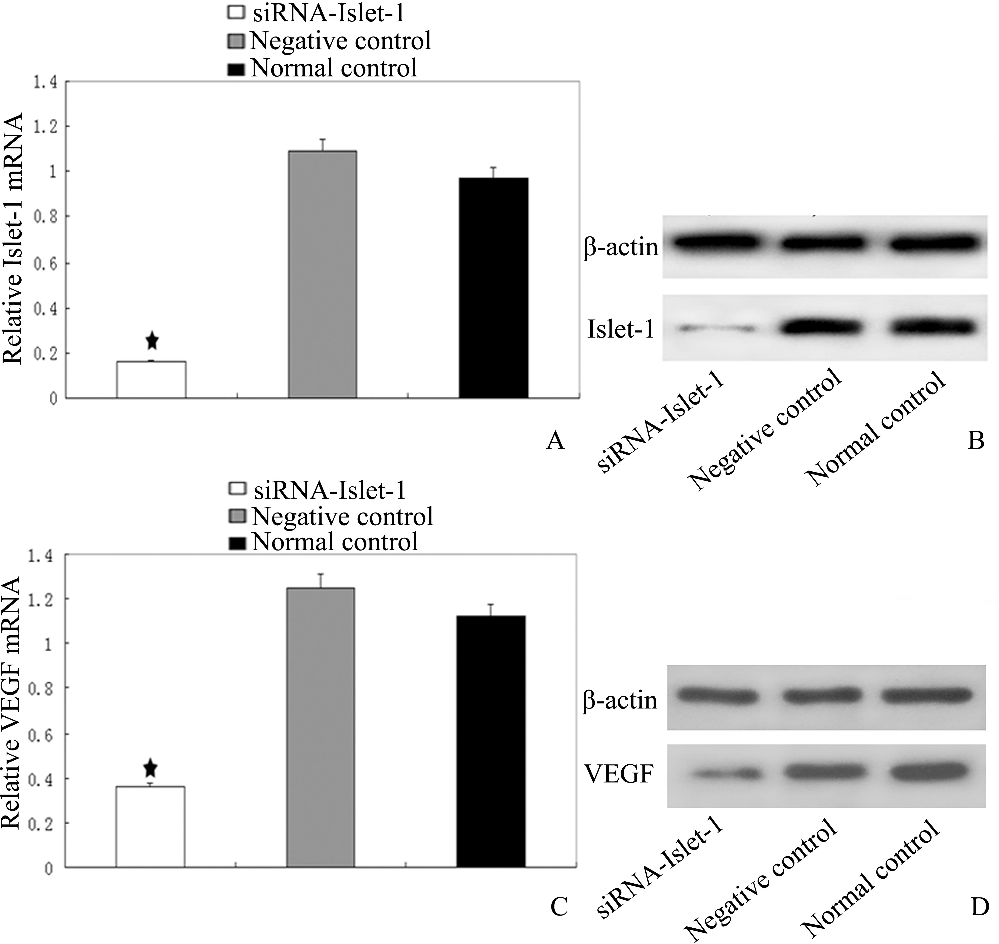
Figure 1. Decreased expression of Islet-1 correlates with VEGF by siRNA targeting Islet-1 in HUVECs. Real-time PCR and western blot
analysis were performed to assess inhibition efficiency at the transcription and translation levels. A, B: Expression of insulin gene enhancer protein ISL-1 (Islet-1) in human umbilical vein endothelial cell lines (HUVECs). siRNA
targeting Islet-1 inhibited the protein expression of Islet-1 by >80%, as well as its mRNA transcription. C, D: Expression of vascular endothelial growth factor (VEGF) in HUVECs at the mRNA and protein levels was also downregulated
by >50%, ★ indicates that the expression of Islet-1 and VEGF mRNA was decreased significantly compared to the controls (★p<0.05).
