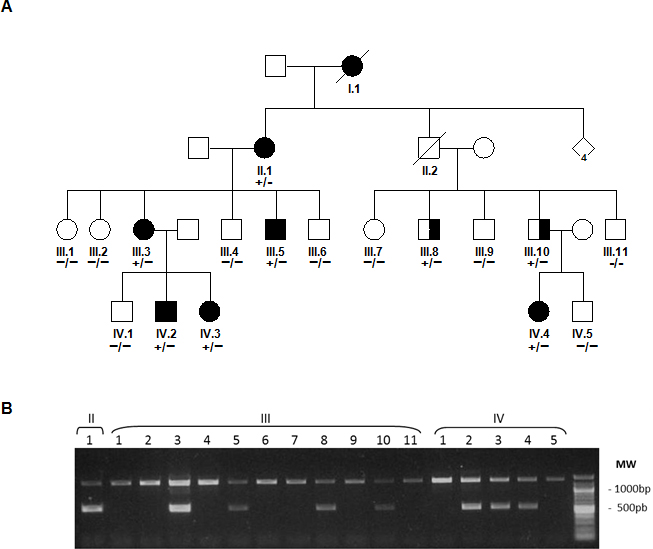
Figure 2. Pedigree and gel electrophoresis analysis of family RPT65. A: Pedigree of the adRP family RPT65, which carries the genetic variant c.307G> (p.Gly103Arg) causing the COL6A6/827-bp deletion (g.9281_10108del) in RHO. The genetic varian in COL6A6 was detected by capillary Sanger sequencing and fluorescence resonance energy transfer (FRET) assay, with (+) indicating
the presence of genetic variants and (−) indicating wild-type alleles. Squares and circles represent men and women, respectively.
The open symbols represent unaffected family members. Completely filled symbols represent patients with retinitis pigmentosa
who underwent ophthalmic examination before genetic variant analysis was performed. Semifilled symbols represent carriers
of the genetic variants who were not clinically diagnosed with RP before the molecular analysis. Ophthalmic examination of
III:8 and III:10 showed a RP phenotype. B: Gel electrophoresis of the PCR products obtained by amplification of genomic DNA from the family members showing the deletion
(g.9281_10108del) in RHO.
