Appendix 3 of Zhuang, Mol Vis 2015; 21:1173-1184.


Appendix 3. Localization of miR-155 in retina.

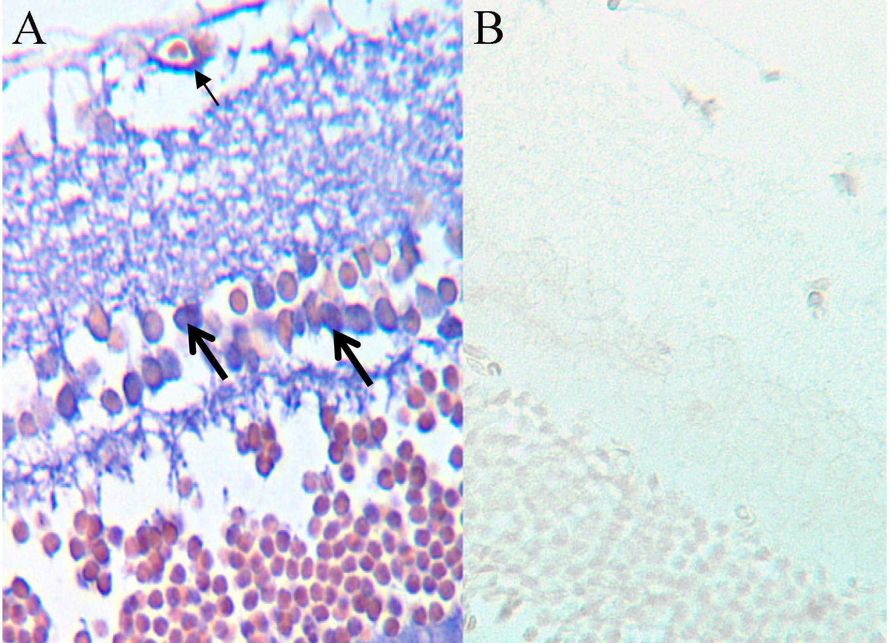
Panel A shows localization of miR-155 (blue chromogen) in the retinal capillaries (small arrow) and in the cells of inner nuclear layer (large arrow), probably in the retinal glial and neuronal cells. Panel B shows the scrambled control retina. To access the data, click or select the words “Appendix 3.”