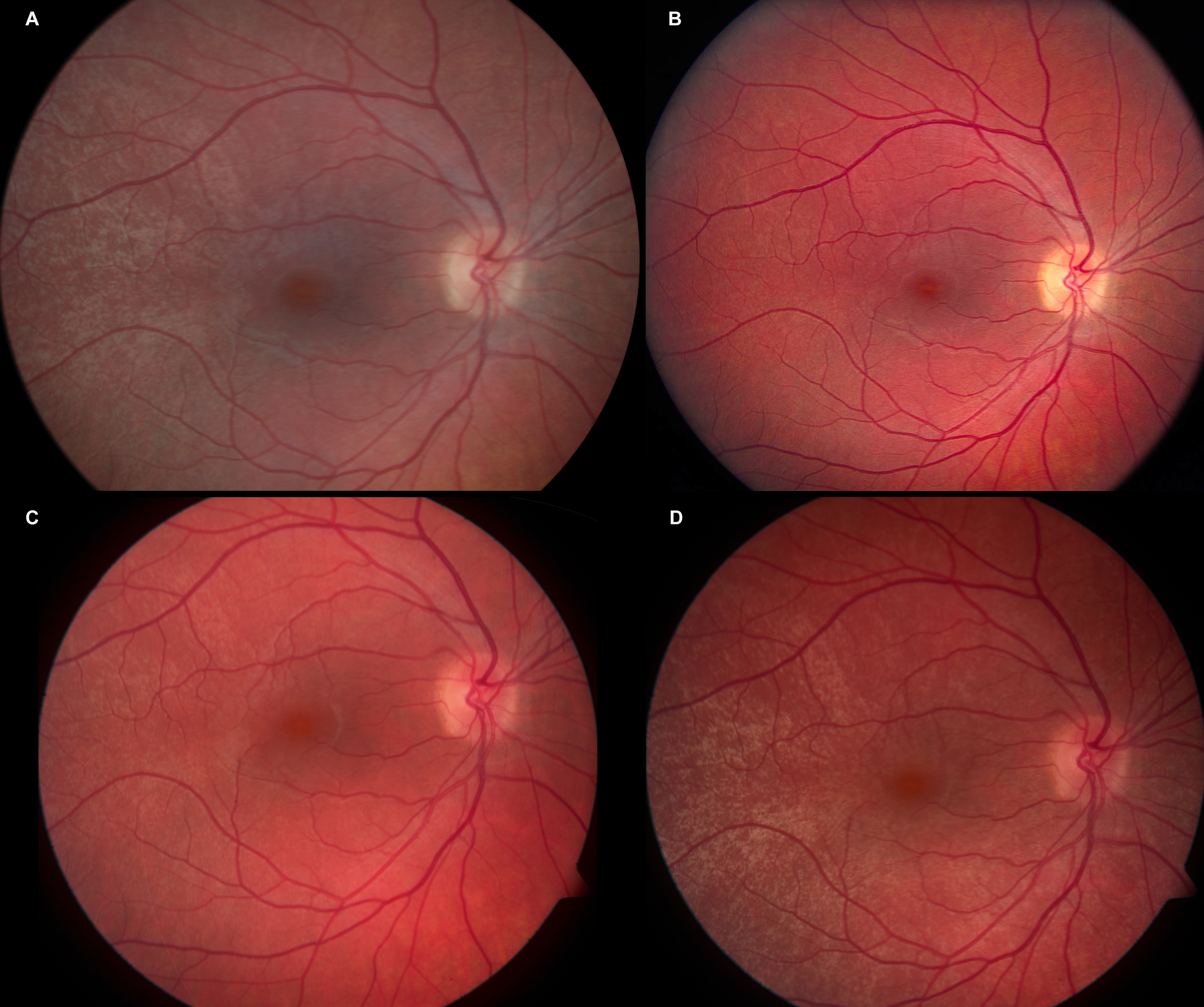
Figure 2. Color fundus photographs of the right eye of female carrier of RPGR ORF15 X-linked retinitis pigmentosa. A: After light exposure at the age of 16 years, a tapetal-like reflex is present, most conspicuously temporal of the fovea.
B: After light exposure at the age of 22 years, no tapetal-like reflex can be seen. C: After 2 h of dark adaptation at the age of 22 years, a discreet tapetal-like reflex is present. D: After 12 h of dark adaptation at the age of 22 years, a clearly visible tapetal-like reflex is present, most conspicuously
temporal of the fovea, in a pattern similar to the initial presentation at the age of 16 years.
