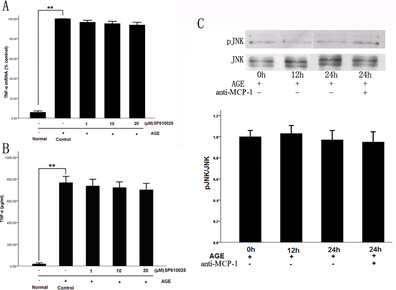
Figure 5. Phospho-c-Jun N-terminal kinase (JNK) does not cause tumor necrosis factor-α (TNF-α) release in activated retinal microglial
cells induced by retinal neuronal monocyte chemoattractant protein-1 (MCP-1). A: Real-time PCR was used to measure TNF-α mRNA expression. JNK inhibitors did not significantly decrease the expression of
TNF-α mRNA induced by retinal neuronal MCP-1 in the retinal neuron–microglia Transwell culture system. B: Enzyme-linked immunosorbent assay (ELISA) was used to measure the soluble TNF-α concentration. JNK inhibitors did not significantly
decrease the concentration of soluble TNF-α. C: Phospho-JNK levels were detected with western blotting. Phospho-JNK levels from the microglial cells did not increase due
to retinal neuronal MCP-1, and anti-MCP-1 did not downregulate the levels of phospho-JNK (**p<0.01).
