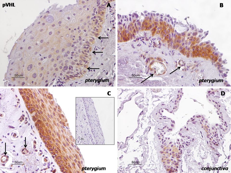
Figure 6. Panel depicting the cellular distribution of pVHL in pterygia (A-C) and normal conjunctiva (D). Note the considerable staining heterogeneity in different pterygium samples (A-C). A: Weak cytoplasmic immunoreactivity in numerous epithelial cells of pterygium tissue. Arrows show basal epithelial cells with
increased staining compared to the other epithelial cells. B: Strong cytoplasmic immunoreactivity in basal and suprabasal cells of pterygium tissue. Arrows show pVHL positive stroma
vessels. C: The pVHL-expressing cells with strong immunoreactivity are distributed in all epithelial layers in this pterygium sample.
Arrows show pVHL-positive stroma vessels. Immunostaining is absent in sections incubated with control IgG (insert). D: Epithelial cells with weak cytoplasmic immunoreactivity are detected mainly in basal layer in normal conjunctival sample.
(Dako Envision Plus Detection System with hematoxylin counterstain, original magnification X400, bar 50 μm).
