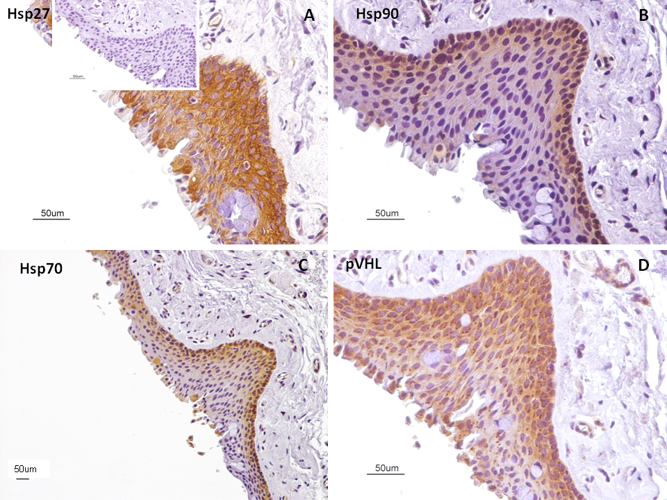
Figure 3. Panel comparing Hsps staining (A-C) and pVHL (D) staining in homologous fields of immediately adjacent sections of a pterygium sample. A: Goblet cells in the superficial layer of epithelium are Hsp27 negative whereas the remaining cells exhibit strong Hsp27
cytoplasmic immunoreactivity. Immunostaining is absent in sections incubated with control IgG (insert). B: Hsp90-positive cells with moderate to strong cytoplasmic immunoreactivity are distributed in basal and suprabasal layers
of epithelium. C: Basal and suprabasal cells display moderate cytoplasmic immunoreactivity for Hsp70. D: The pVHL-expressing cells with strong immunoreactivity are distributed in all epithelial layers in this pterygium sample.
(Dako Envision Plus Detection System with hematoxylin counterstain, original magnification X200 [C], X400 [A, B, D], bar 50 μm).
