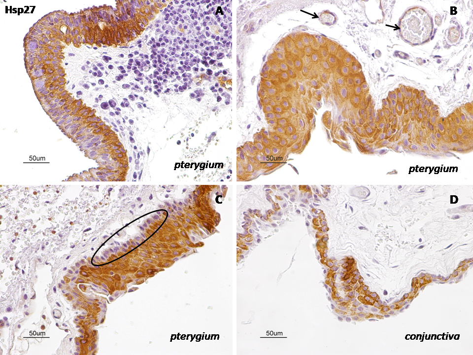
Figure 2. Panel depicting the cellular distribution of Hsp27 in pterygia (A-C) and normal conjunctiva (D). A, B: Strong cytoplasmic immunoreactivity in high percentage of epithelial cells. B: Arrows indicate vessels in pterygium stroma that are Hsp27 positive. C: Oval indicates Hsp27-negative basal cells whereas the entire epithelium exhibits extensive Hsp27 immunoreactivity. D: A representative normal conjunctival sample with intense cytoplasmic Hsp27 immunoreactivity mostly in basal and suprabasal
cells. (Dako Envision Plus Detection System with hematoxylin counterstain, original magnification X400, bar 50 μm).
