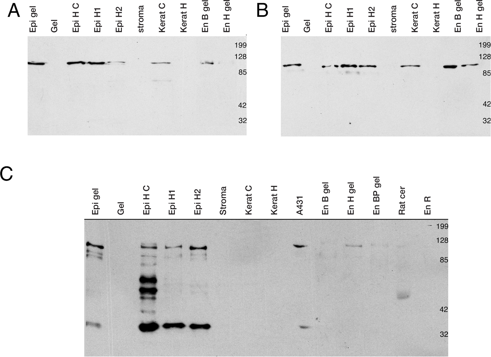
Figure 4. Western blots from cells or tissues of corneal donors or equivalents. Proteins were obtained from human corneal epithelium
in culture over a stromal equivalent (“Epi gel”) or in monoculture (“Epi H C”), or collected from donors (lanes “Epi H1,”
and “Epi H2”). The collagen gel is identified as “Gel.” The lane “Stroma” contains corneal stroma treated in collagenase H
whereas lanes “Kerat C” and “Kerat H” contain keratocytes in culture or obtained from the donor cornea, respectively. “En
B gel” and “En H gel” are lysates from either bovine or human endothelial cells growing on the stromal equivalent. “EnBP gel”
is a pool of bovine endothelial cells growing on corneal equivalents that were not seeded with epithelial cells. “En R” refers
to endothelial cells isolated from rabbit corneas. A431 and rat cerebrum (Rat cer) lysates were used as positive controls
for E- and N-cadherin antibodies. Blots of α-catenin (A), β-catenin (B), and E-cadherin (C).
