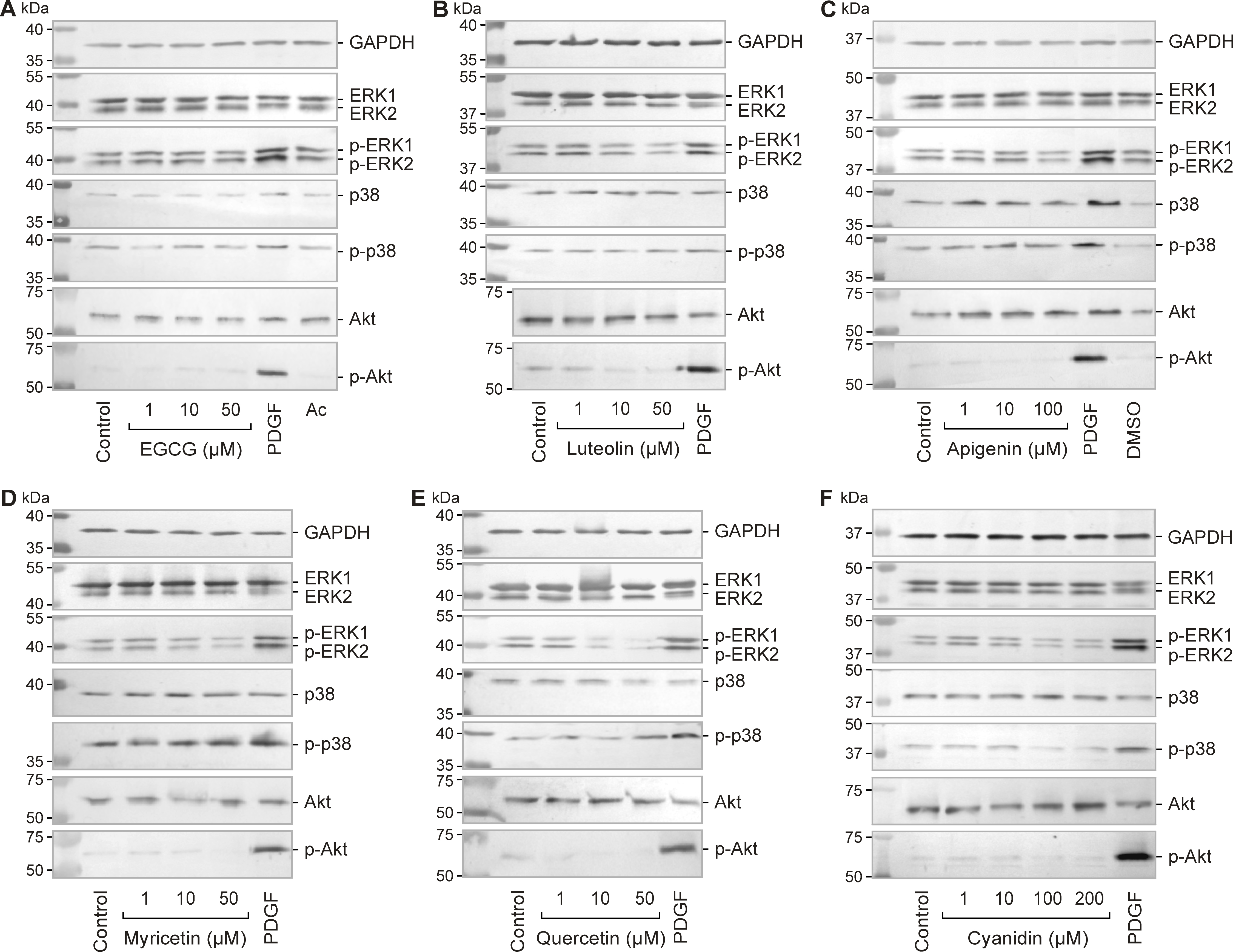
Figure 10. Dose-dependent effects of several vegetable polyphenols on the phosphorylation levels of extracellular signal-regulated kinase
1/2, p38 mitogen-activated protein kinase, and Akt protein in retinal pigment epithelial (RPE) cells. (A) epigallocatechin-3-gallate, (B) luteolin, (C) apigenin, (D) myricetin, (E) quercetin, and (F) cyanidin. Platelet-derived growth factor (PDGF; 10 ng/ml) was used as the positive control. The vehicle controls were made
with acetone (Ac; 0.1%) and dimethyl sulfoxide (DMSO; 0.1%), respectively. The cultures were stimulated for 15 min. Amounts
of phosphorylated proteins are shown above; amounts of total proteins are shown below. Similar results were obtained in three
independent experiments.
