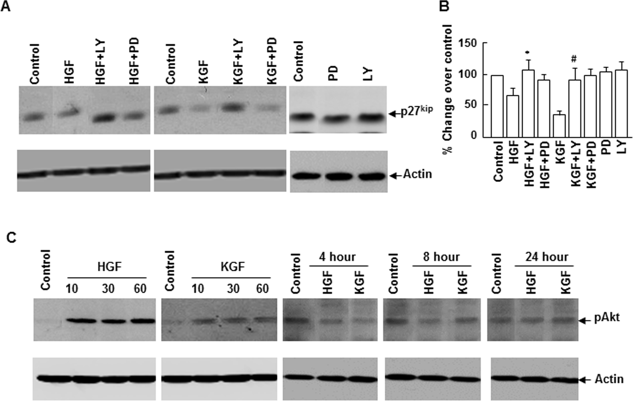
Figure 5. Phosphatidylinositol 3-kinase (PI-3K)//Akt inhibition suppresses hepatocyte growth factor (HGF)– and keratinocyte growth factor
(KGF)–mediated effect on p27kip expression. Rabbit corneal primary epithelial (RCPE) cell growth cultures at 80%–90% confluence were starved overnight with
Dulbecco’s Modified Eagle Medium with Ham’s F-12 (DMEM/F-12)/0.25% fetal calf serum (FCS) and then pretreated with PI-3K/Akt
inhibitor (LY294002, 20 μM) and Erk inhibitor (PD98059, 20 μM) for 30 min before 20 ng/ml HGF) or KGF was added. Cultures
were incubated for various time points as indicated, and the levels of (A) p27kip and (C) phospho Akt (pAkt) in cellular extracts were determined with western immunoblotting. Densitometric quantification
of p27kip levels is presented in B. Data shown are mean±standard deviation (SD). p<0.05, *HGF versus LY+HGF, #KGF versus LY+KGF.
