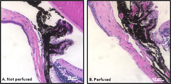
Figure 4. Representative histology of the angle structures and outflow tract of C57BL/6 eyes after perfusion. A: Unperfused eye; B: eye perfused in a pressure range of 15–35 mmHg. Eyes were snap frozen immediately after the perfusion experiments. Perfused
eyes were histologically similar to unperfused control eyes. Scale bar, 50 µm.
