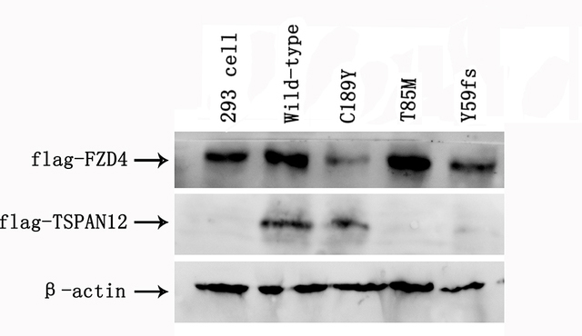
Figure 7. Western blot analysis by SDS-PAGE of the TSPAN12 mutants. Total protein (10 μg) isolated from cell lysates from luciferase assays was mixed with sodium dodecyl sulfate–polyacrylamide
gel electrophoresis (SDS–PAGE) loading buffer and subjected to SDS-PAGE and western blot analysis using anti-Flag antibody
to detect TSPAN12 and FZD4 expression. Beta-actin was used as the loading control. The expression level of TSPAN12 C189Y was compatible with that of the wild-type. However, the T85M and Y59fs mutant proteins were not stable.
