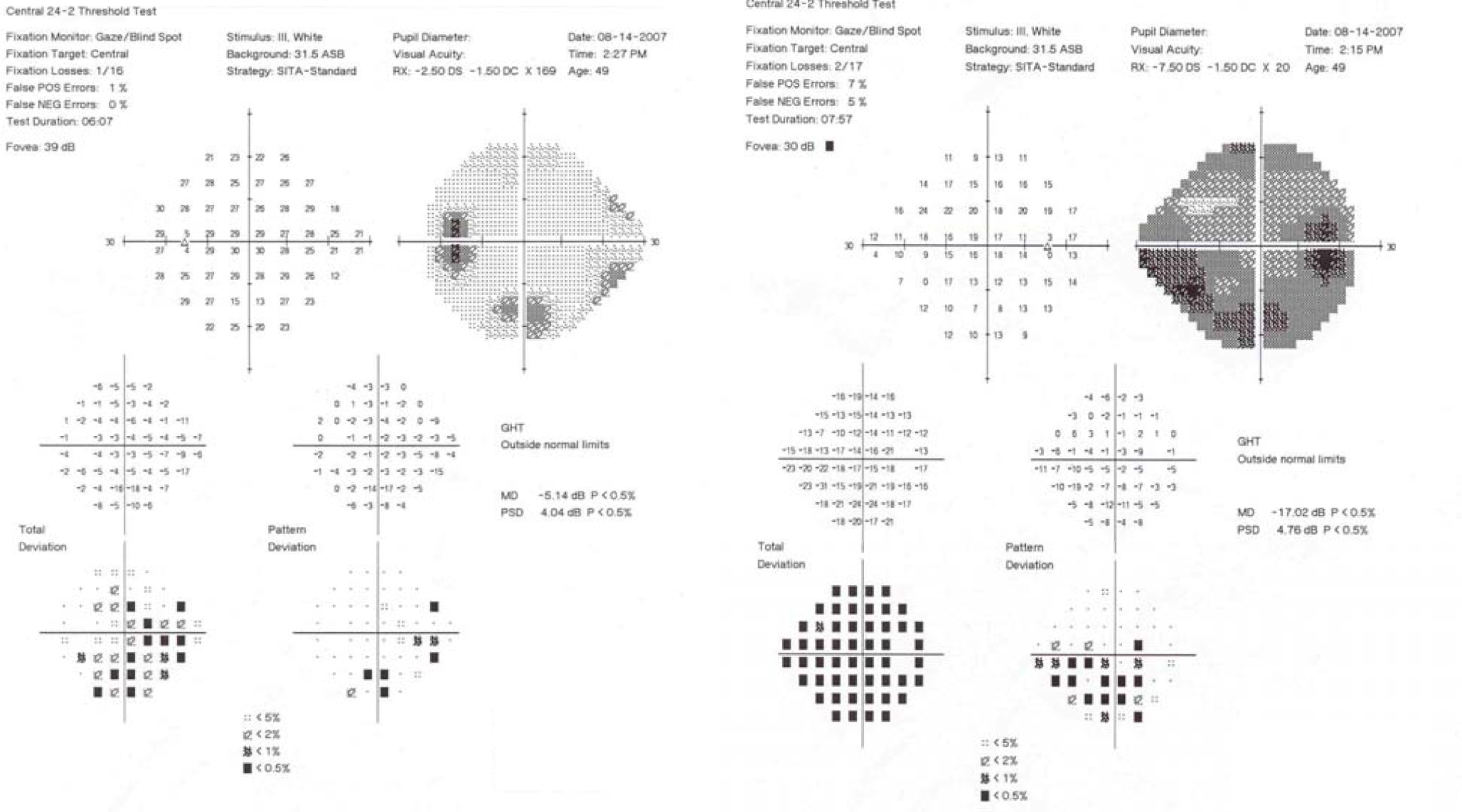
Figure 7 of Wallace, Mol Vis 2014; 20:1174-1181.


Figure 7. Humphrey visual fields (24–2 SITA-Standard) of Subject 3 indicate advanced visual field loss in the right eye and an inferior arcuate and superior nasal step in the left eye.