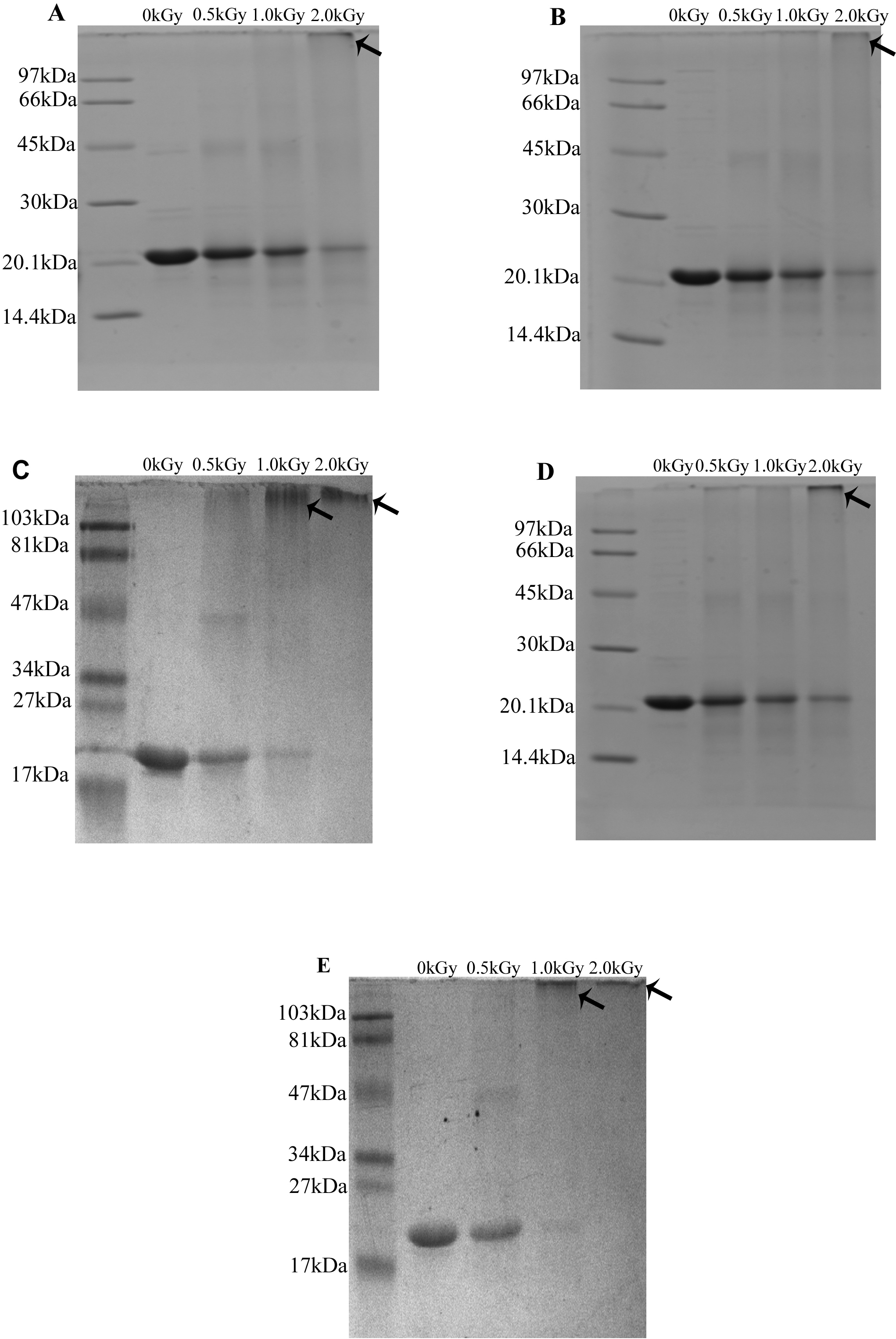
Figure 3. Cross-linked products of αA-crystallin wild-type and N-terminal mutants produced by gamma irradiation. The 15% sodium dodecyl
sulfate–polyacrylamide gel electrophoresis (SDS–PAGE) results show the cross-linked products produced by the αA-crystallin
wild-type (wt) and N-terminal mutants in non-gamma irradiation (NGI) and after gamma irradiation (GI) with 0.5 kGy, 1.0 kGy,
and 2.0 kGy dosages. A: αA-crystallin wt exhibited a gradual decrease in monomeric form due to GI and a slight increase in high molecular weight
(HMW) cross-linked product at 2.0 kGy. In the case of the mutants, HMW cross-linked products were observed at 1.0 and 2.0
kGy. (B) R12C, (C) R21L. D) R49C, and (E) R54C.
