Figure 4 of Yang, Mol Vis 2013; 19:986-994.


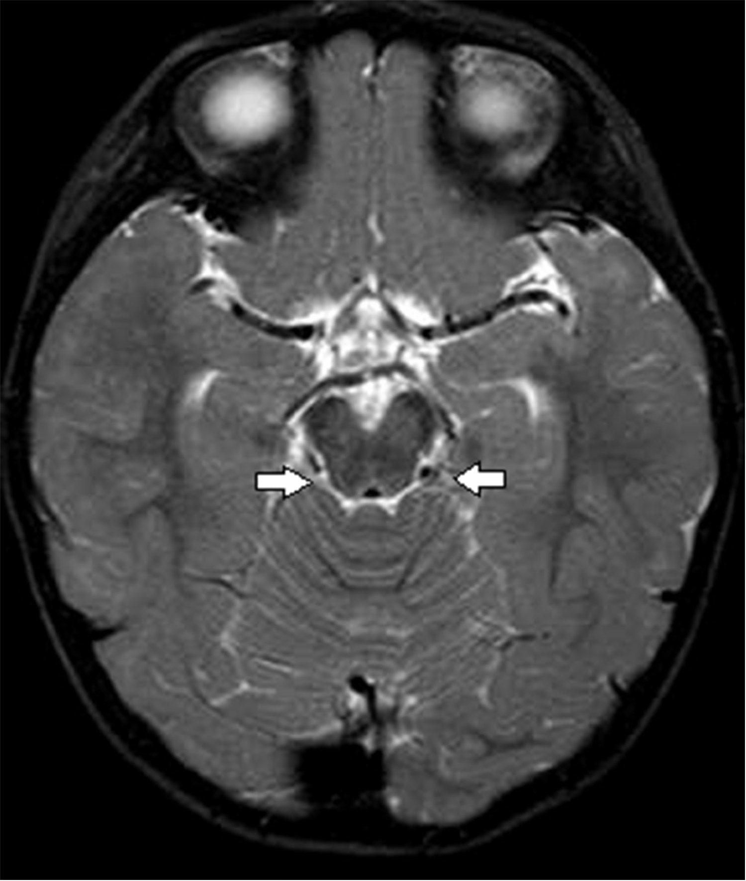
Figure 4. Magnetic resonance imaging of the brain of proband III:2. The thin linear structure coursing obliquely from the left pontomedullary region in the left pontine cistern suggests the left abducens nerve, which was absent in the right side.