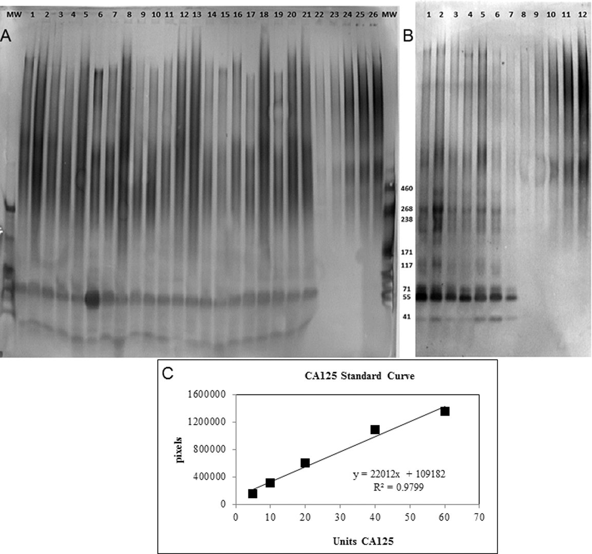
Figure 2. Western blot. Panel A is an example of MUC16 western blot from impression cytology samples (membrane bound MUC16). Lanes 1–21 are participant samples.
Lanes 22–26 are MUC16 standards (CA125; 5, 10, 32, 60, and 74 units). MW are molecular weight markers from 41 to 460 kDa (kD)
beside the accompanying band. Panel B is an example of MUC16 western blot from tear samples (soluble MUC16). Lanes 1–7 are participant samples. Lanes 8–12 are
MUC16 standard (CA125; 5, 10, 20, 40, and 60 units). C: The sample regression curve (from B) was created by graphing the applied concentration of MUC16 standard (CA125) against the optical density of the resulting
band immunoreactivity. Total MUC16 concentration was quantified by interpolation from this curve. For analysis purposes, all
sample chemiluminescent signals at and above 150 kDa were used.
