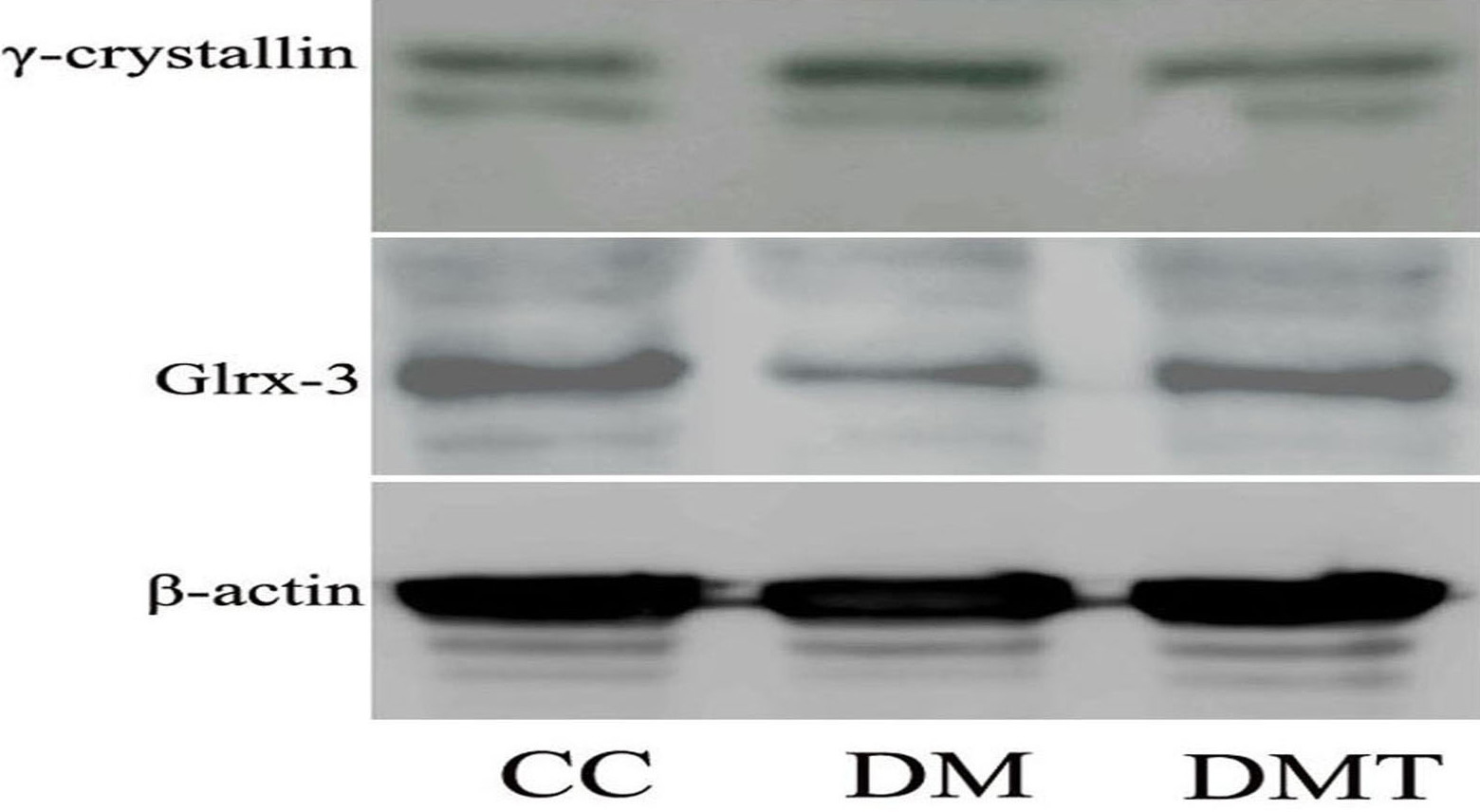
Figure 5 of Zhang, Mol Vis 2013; 19:812-821.


Figure 5. Effect of phlorizin on γ-crystallin and Glr×-3 expression by western blotting. β-actin was used as the loading control. CC: control db/m group; DM: untreated db/db group; DMT: phlorizin treated db/db group.