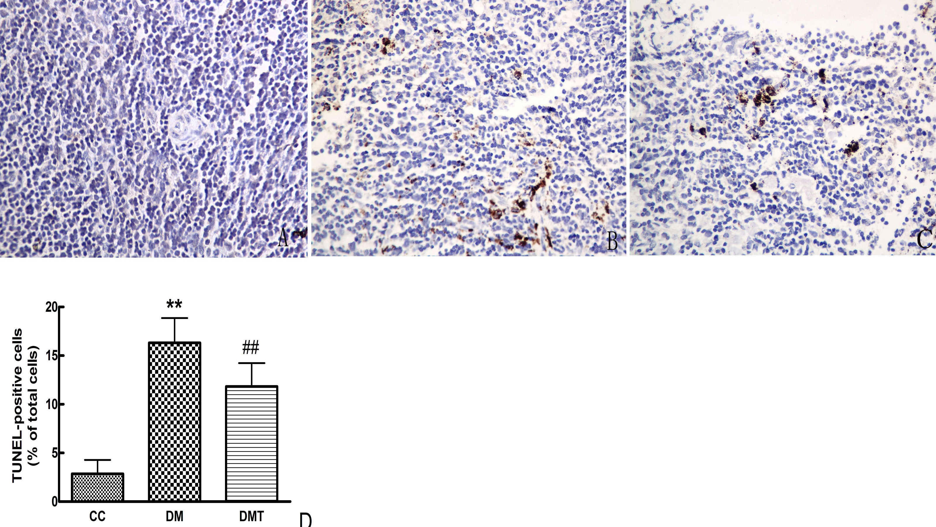
Figure 2. Effect of phlorizin on diabetes-induced retinal cells apoptosis with TUNEL assay (× 400). Terminal transferase dUTP nick end
labeling (TUNEL) staing of retinal cells apoptosis in CC (A), DM (B), and DMT (C). D: The graph displayed the TUNEL-positive cells counted among three groups. Treatment with phlorizin significantly reduced
retinal cells apoptosis as determind by TUNEL(##p<0.01). The abbreviations used are as follows: control db/m group (CC), untreated
db/db group (DM), phlorizin treated db/db group (DMT). All data are expressed as the mean±standard deviation (SD; n=8/ each
group, one way ANOVA, Tukey test).
