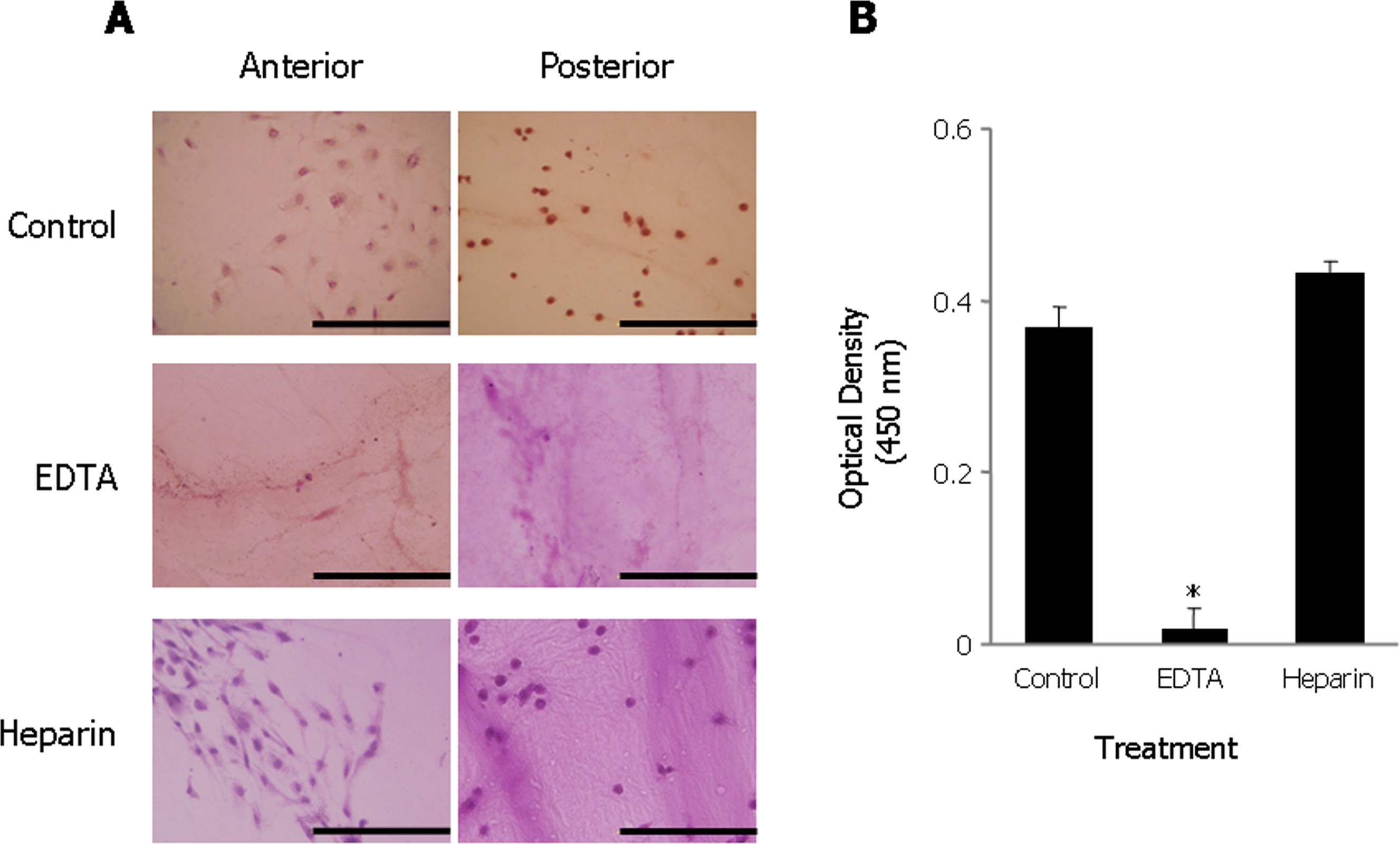
Figure 7. Effect of EDTA and heparin on cell adhesion of endothelial cells. A: EDTA (EDTA) or EDTA (5 mM) or heparin (10 μg/ml) was preincubated with bEnd.3 cell suspension for 2 h and then added to the
vitreous explants. Thereafter, stereomicroscopic images of bEnd.3 cells on the vitreous surface were taken after hematoxylin
and eosin (H&E) staining. The micrograph depicts cell morphology on the vitreous surface in the magnified image. Scale bar=200
μm. B: 3-(4,5-dimethylthiazol-2-yl)-2,5-diphenyltetrazolium bromide (MTT) assay was performed to evaluate the number of adherent
cells on the vitreous surface. Data are expressed as mean±standard deviation (SD; n=4). *, significantly different from the
cell-treated group (p<0.05).
