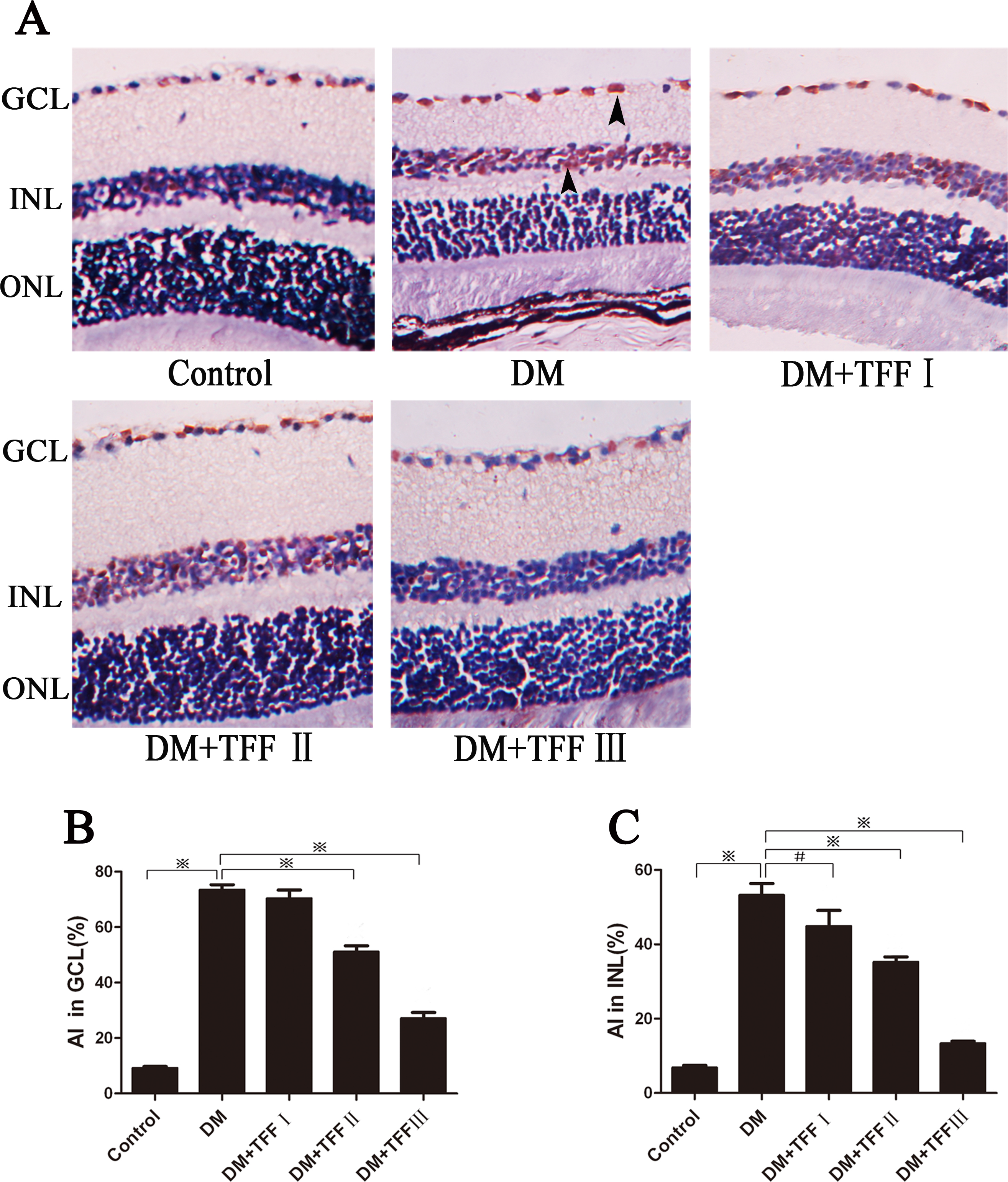
Figure 5. Treatment with total flavonoids from Flos Puerariae (TFF) attenuated apoptosis of neural cells in retinas of the diabetic
mice. A: Representative images of TUNEL assay of the mice retinas of different groups (Magnification: 400×). n=4 per group. TUNEL-positive
cells (black arrows) were distributed mainly in the ganglion cell layer (GCL) and the INL of the retinas. B and C: Apoptotic index in the GCL and the inner nuclear layer (INL) in different groups. Twelve micrographs of each group were
analyzed. AI: apoptotic index; GCL: ganglion cell layer; INL: inner nuclear layer; Black arrows indicated TUNEL-positive cell.
Data are expressed as mean ±standard deviation. #p<0.05; ※p<0.01.
