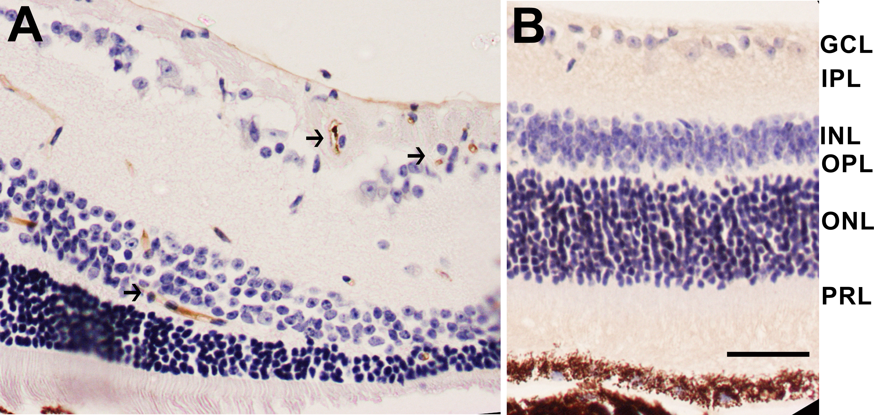
Figure 5. Immunohistochemical analysis of 15-month old mice. A, B: Increased immunoreactivity for insulin-like growth factor II (IGF-II) is present in the vasculature of the low-density lipoprotein
receptor–deficient apolipoprotein B-100-only mice overexpressing IGF-II (IGF-II/LDLR–/–ApoB100/100; arrows, A), while no positivity is seen in the LDLR–/–ApoB100/100 control (B). Original magnification in the figure is 400×, and the scale bar 25 μm. Definitions for the abbreviations are: GCL, ganglion
cell layer; IPL, inner plexiform layer; INL, inner nuclear layer; OPL, outer plexiform layer; ONL, outer nuclear layer; PRL,
photoreceptor layer.
