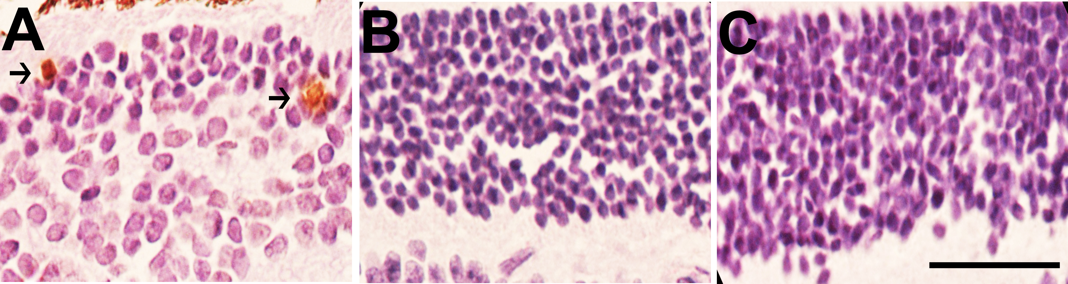
Figure 4. Apoptotic cells in the retinal layers of 15-month-old mice. Terminal deoxynucleotidyl transferase dUTP nick end labeling (TUNEL)
showed apoptotic cells (arrows) in the outer nuclear layer (ONL) of low-density lipoprotein receptor–deficient apolipoprotein
B-100-only mice overexpressing insulin-like growth factor II (IGF-II/LDLR–/–ApoB100/100). A: No positivity was found in the LDLR–/–ApoB100/100 mice (B) or C57Bl/6J mice (C). Original magnification in the figure is 400×, and the scale bar is 25 μm.
